切换至 "中华医学电子期刊资源库"

中华神经创伤外科电子杂志 ›› 2025, Vol. 11 ›› Issue (04) : 256 -263. doi: 10.3877/cma.j.issn.2095-9141.2025.04.008

短篇论著

急性脑损伤开颅术后严重脑脊液低容量致脑疝的临床及影像学特点分析
陈善文(), 王陆, 康全利   
  1. 101300 北京市顺义区医院神经外科
  • 收稿日期:2024-09-18 出版日期:2025-08-15
  • 通信作者: 陈善文

Clinical and imaging characteristics of cerebral herniation caused by critical cerebrospinal fluid hypovolemia after craniotomy in patients with acute traumatic brain injury

Shanwen Chen(), Lu Wang, Quanli Kang   

  1. Department of Neurosurgery, Beijing Shunyi District Hospital, Beijing 101300, China
  • Received:2024-09-18 Published:2025-08-15
  • Corresponding author: Shanwen Chen
引用本文:

陈善文, 王陆, 康全利. 急性脑损伤开颅术后严重脑脊液低容量致脑疝的临床及影像学特点分析[J/OL]. 中华神经创伤外科电子杂志, 2025, 11(04): 256-263.

Shanwen Chen, Lu Wang, Quanli Kang. Clinical and imaging characteristics of cerebral herniation caused by critical cerebrospinal fluid hypovolemia after craniotomy in patients with acute traumatic brain injury[J/OL]. Chinese Journal of Neurotraumatic Surgery(Electronic Edition), 2025, 11(04): 256-263.

目的

总结开颅术后严重脑脊液低容量(CCSFH)致脑疝患者的临床及影像学特点。

方法

选取北京市顺义区医院神经外科自2019年1月至2023年11月收治的14例急性脑损伤开颅术后发生CCSFH致脑疝的患者,分析其临床资料、影像学特点、治疗过程及预后。采用改良Rankin量表(mRS)评估患者出院后6个月的预后。

结果

CCSFH均发生于术后1~13 d。7例患者表现为意识或精神状态变差,其中3例发生瞳孔不等大;其余7例处于术后镇静镇痛状态,无法准确评估意识状态,瞳孔大小正常。CCSFH发生时中线移位(10.95±2.90)mm,范围为6.69~16.00 mm。5例患者的颅内压是1~11 mmHg(1 mmHg=0.133 kPa)。4例患者未能及时识别CCSFH,行去骨瓣减压术;10例患者采取平卧位、停止脑脊液引流等保守治疗。最终所有患者的CCSFH均得以逆转。随访6个月,mRS评分≤2分6例,mRS评分˃2分8例。

结论

开颅术后CCSFH常表现为意识或精神状态变差,严重者出现小脑幕切迹疝,CT扫描显示中线明显移位,但颅内压呈相对低水平。平卧位是治疗CCSFH最主要的措施,辅以停止脑脊液引流和高渗利尿剂,给予静脉补液,可取得良好效果。

Objective

To investigate the clinical and imaging characteristics of patients with herniation secondary to critical cerebrospinal fluid hypovolemia (CCSFH) after craniotomy.

Methods

From January 2019 to November 2023, fourteen patients with acute brain injury were admitted to Neurosurgery Department of Beijing Shunyi District Hospital, and experienced cerebral herniation due to CCSFH after craniotomy. Their clinical and imaging characteristics, treatment course, and outcomes were analyzed. Prognosis at six months post-discharge was assessed with the modified Rankin scale (mRS).

Results

CCSFH occurred within 1 to 13 d post-surgery. Seven patients exhibited a decline in consciousness or mental state, with three showing anisocoria. The remaining seven patients had regular pupil sizes, complicating consciousness assessment due to postoperative sedation and analgesia. The midline shift was (10.95±2.90) mm during the CCSFH presentation, ranging from 6.69 to 16.00 mm. Intracranial pressure ranged from 1-11 mmHg (1 mmHg=0.133 kPa) in 5 cases with CCSFH. Four cases underwent decompressive craniectomies owing to delayed CCSFH identification, while 10 cases received conservative treatment. The CCSFH condition was successfully reversed in all patients. Six months post-discharge, 6 cases had mRS scores≤2, and 8 had scores>2.

Conclusions

Post-craniotomy CCSFH often presents with deteriorating consciousness or mental status, and in severe cases, it may lead to transtentorial herniation. CT scans show significant midline shift, but the intracranial pressure remains relatively low. The primary treatment is positioning the patient supine, along with stopping cerebrospinal fluid drainage, halting use of hypertonic diuretics, and administering intravenous hydration, which often leads to good outcomes.

表1 14例严重脑脊液低容量患者的临床和影像资料
Tab.1 Clinical and radiological data of 14 patients with critical cerebrospinal fluid hypovolemia
序号 性别 年龄(岁) 原发病 诱发因素 发生时间 症状 影像表现 治疗方法 随访mRS评分
1 24 TEDH 半卧位、术腔引流、甘露醇 4 d 意识变差,头痛加重,呕吐,瞳孔稍大 MS 6.69 mm,双侧OCS DC,停甘露醇 0
2 66 TSDH 半卧位、术腔引流、甘露醇、腰穿 6 d 昏迷,瞳孔散大 MS 16.00 mm,SDE,双侧OCS DC,平卧位 0
3 60 FH 半卧位、术腔引流、甘露醇、腰穿 6 d 意识变差,呕吐 MS 13.22 mm,术侧OCS DC,停甘露醇、补液,升压 1
4 62 MCA An 半卧位、甘露醇、腰穿 9 d 昏迷,瞳孔散大 MSSD12H.3,0双m侧mO,SCDSE, DC,停甘露醇、补液,平卧位 1
5 50 TSDH 术腔引流 4d 意识变差 MS 8.80 mm,SDE,双侧OCS 平卧位,停术腔引流 0
6 66 MCA An 术前及术中CSF丢失 1d 持续嗜睡,精神差 MS 6.92 mm,SDE,术侧OCS 平卧位,停术腔引流 2
7 39 BGH 腰穿 13 d 头痛加重 MS 12.93 mm,双侧OCS 平卧位,补液 3
8 51 BGH IVH 术腔引流、腰穿 4d - MS 14.71 mm,SDE,术侧OCS 平卧位,停术腔引流 4
9 71 BGH IVH 术腔引流 6d - MS 9.78 mm,术侧OCS 平卧位,停术腔引流 5
10 73 BGH IVH 术腔引流 4d - MS 12.68 mm,双侧OCS 平卧位,停术腔引流 5
11 47 BGH IVH 术前及术中CSF丢失 1d - MS 12.52 mm,双侧OCS 平卧位,停术腔引流 4
12 57 BGH IVH 术前及术中CSF丢失 1d - MS 8.34 mm,SDH,双侧OCS 平卧位,未用甘露醇 4
13 61 TH IVH 术腔引流 4d - MS8.79 mm,SDE,双侧CS 平卧位,MV,未用甘露醇 5
14 69 FH 术前及术中CSF丢失 1d - MS9.59 mm,SDE,术侧OCS 平卧位,MV,未用甘露醇 6
图1 5例严重脑脊液低容量患者术后颅内压变化趋势箭头代表患者发生脑脊液低容量的时刻;1 mmHg=0.133 kPa
Fig.1 Trend of postoperative intracranial pressure changes in 5 cases with critical cerebrospinal fluid hypovolemia
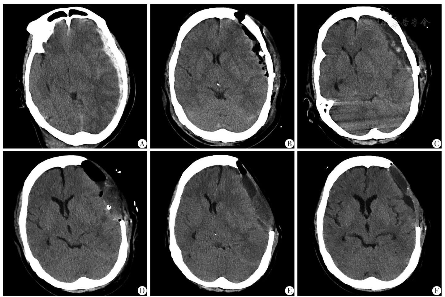
图2 创伤性硬膜下血肿后CCSFH致脑疝患者(病例2)手术前后的影像学资料A:首次手术前CT示左侧额颞顶部硬膜下血肿;B:首次手术后CT示硬膜下血肿清除彻底,骨瓣下积气,中线移位改善;C:2次手术前CT示脑膨起不良,皮层脑沟消失,骨瓣下积液,中线移位16.00 mm,基底池消失;D:二次手术后CT示脑膨起仍欠佳,中线移位明显改善;E:经术腔引流、甘露醇降颅压后,复查CT示反常性脑疝;F:患者取平卧位后3 d,CT示中线基本居中,皮层脑沟清晰;CCSFH:严重脑脊液低容量
Fig.2 Pre- and post-surgical imaging data in the patient with cerebral herniation caused by CCSFH after traumatic subdural hematoma (case 2)
图3 脑出血后CCSFH致脑疝患者(病例13)手术前后的影像学资料A:术前CT示右侧丘脑出血、脑室铸型;B:术后控制性引流脑脊液3 d后右侧额颞部硬膜下积液增多,中线向左移位;C:应用有创机械通气3 d后右侧额颞部硬膜下积液消失,中线回位;D:继续控制性脑脊液引流,未再发生硬膜下积液;E:患者合并双侧肺炎、肺不张;F:应用机械通气后肺不张明显缓解;CCSFH:严重脑脊液低容量
Fig.3 Pre- and post-surgical imaging data in the patient with cerebral herniation caused by CCSFH after spontaneous cerebral hemorrhage (case 13)
[1]
Komotar RJ, Mocco J, Ransom ER, et al. Herniation secondary to critical postcraniotomy cerebrospinal fluid hypovolemia[J]. Neurosurgery, 2005, 57(2): 286-292. DOI: 10.1227/01.neu.0000166661.96546.33.
[2]
Hadizadeh DR, Kovács A, Tschampa H, et al. Postsurgical intracranial hypotension: diagnostic and prognostic imaging findings[J]. AJNR Am J Neuroradiol, 2010, 31(1): 100-105. DOI: 10.3174/ajnr.A1749.
[3]
Kawahara I, Tsutsumi K, Matsunaga Y, et al. Early awareness of cerebrospinal fluid hypovolemia after craniotomy for microsurgical aneurysmal clipping[J]. Acta Neurochir (Wien), 2013, 155(8): 1543-1548. DOI: 10.1007/s00701-013-1755-4.
[4]
Hirono S, Kawauchi D, Higuchi Y, et al. Life-threatening intracranial hypotension after skull base surgery with lumbar drainage[J]. J Neurol Surg Rep, 2015, 76(1): e83-e86. DOI: 10.1055/s-0035-1547369.
[5]
Lim J, Kwon HJ, Kim SH, et al. Early occurrence of sinking skin flap syndrome in a state of intracranial hypertension: case report[J]. Clin Neuroradiol, 2018, 28(2): 297-300. DOI: 10.1007/s00062-017-0635-3.
[6]
Creutzfeldt CJ, Vilela MD, Longstreth WT Jr. Paradoxical herniation after decompressive craniectomy provoked by lumbar puncture or ventriculoperitoneal shunting[J]. J Neurosurg, 2015, 123(5): 1170-1175. DOI: 10.3171/2014.11.Jns141810.
[7]
Samadani U, Huang JH, Baranov D, et al. Intracranial hypotension after intraoperative lumbar cerebrospinal fluid drainage[J]. Neurosurgery, 2003, 52(1): 148-152. DOI: 10.1097/00006123-200301000-00019.
[8]
Komotar RJ, Ransom ER, Mocco J, et al. Critical postcraniotomy cerebrospinal fluid hypovolemia: risk factors and outcome analysis[J]. Neurosurgery, 2006, 59(2): 284-290. DOI: 10.1227/01.NEU.0000223340.89958.8D.
[9]
Staykov D, Speck V, Volbers B, et al. Early recognition of lumbar overdrainage by lumboventricular pressure gradient[J]. Neurosurgery, 2011, 68(5): 1187-1191. DOI: 10.1227/NEU.0b013e31820c0274.
[10]
Wang YF, Fuh JL, Lirng JF, et al. Cerebrospinal fluid leakage and headache after lumbar puncture: a prospective non-invasive imaging study[J]. Brain, 2015, 138(Pt 6): 1492-1498. DOI: 10.1093/brain/awv016.
[11]
Ljubisavljevic S. Postdural puncture headache as a complication of lumbar puncture: clinical manifestations, pathophysiology, and treatment[J]. Neurol Sci, 2020, 41(12): 3563-3568. DOI: 10.1007/s10072-020-04757-z.
[12]
Goldberg J, Häni L, Jesse CM, et al. Spontaneous intracranial hypotension without CSF leakage-concept of a pathological cranial to spinal fluid shift[J]. Front Neurol, 2021, 12: 760081. DOI: 10.3389/fneur.2021.760081.
[13]
Joo B, Won SY, Sinkus R, et al. Viscoelastic property of the brain assessed with magnetic resonance elastography and its association with glymphatic system in neurologically normal individuals[J]. Korean J Radiol, 2023, 24(6): 564-573. DOI: 10.3348/kjr.2022.0992.
[14]
Duan S, Hu J. Pathogenesis and management of low-pressure hydrocephalus: a narrative review[J]. J Neurol Sci, 2024, 460: 122988. DOI: 10.1016/j.jns.2024.122988.
[15]
Fattahi N, Arani A, Perry A, et al. MR elastography demonstrates increased brain stiffness in normal pressure hydrocephalus[J]. Am J Neuroradiol, 2016, 37(3): 462-467. DOI: 10.3174/ajnr.A4560.
[16]
Haku T, Motoyama Y, Takamura Y, et al. Central herniation induced by craniotomy prompting air replacement for subdural fluid collection due to cerebrospinal fluid hypovolemia[J]. World Neurosurg, 2018, 117: 182-185. DOI: 10.1016/j.wneu.2018.06.059.
[17]
Shin HS, Lee SH, Ko HC, et al. Extended pneumocephalus after drainage of chronic subdural hematoma associated with intracranial hypotension: case report with pathophysiologic consideration[J]. J Korean Neurosurg Soc, 2016, 59(1): 69-74. DOI: 10.3340/jkns.2016.59.1.69.
[18]
Li HP, Lin YN, Cheng ZH, et al. Intracranial-to-central venous pressure gap predicts the responsiveness of intracranial pressure to PEEP in patients with traumatic brain injury: a prospective cohort study[J]. BMC Neurol, 2020, 20(1): 234. DOI: 10.1186/s12883-020-01764-7.
[19]
Robba C, Poole D, Mcnett M, et al. Mechanical ventilation in patients with acute brain injury: recommendations of the European Society of Intensive Care Medicine consensus[J]. Intensive Care Med, 2020, 46(12): 2397-2410. DOI:10.1007/s00134-020-06283-0.
[20]
Robba C, Ball L, Nogas S, et al. Effects of positive end-expiratory pressure on lung recruitment, respiratory mechanics, and intracranial pressure in mechanically ventilated brain-injured patients[J]. Front Physiol, 2021, 12: 711273. DOI: 10.3389/fphys.2021.711273.
[21]
Giardina A, Cardim D, Ciliberti P, et al. Effects of positive end-expiratory pressure on cerebral hemodynamics in acute brain injury patients[J]. Front Physiol, 2023, 14: 1139658. DOI: 10.3389/fphys.2023.1139658.
[22]
Chen SW. Treatment of intractable paradoxical herniation by invasive mechanical ventilation with increased positive end-expiratory pressure: a case report[J]. Brain Inj, 2025, 39(3): 241-246. DOI: 10.1080/02699052.2024.2419379.
[1] 王丽敏, 周小建. LncRNA 及相关miRNA 在缺氧缺血性脑损伤中的表达[J/OL]. 中华妇幼临床医学杂志(电子版), 2025, 21(02): 145-150.
[2] 贺雪佳, 刘静, 张毓瑾, 贾凤林, 马鑫茂, 张慧, 宁刚, 曲海波, 廖怡. 胎儿生发基质-脑室内出血的影像学研究[J/OL]. 中华妇幼临床医学杂志(电子版), 2025, 21(01): 21-28.
[3] 邸立君, 刘洋, 孙媛, 李晖. 脑源性无细胞DNA 对肺癌并发脑转移放射性脑损伤的预测意义[J/OL]. 中华肺部疾病杂志(电子版), 2025, 18(01): 80-85.
[4] 陈靓, 曾义, 高安亮, 冯杰, 李春玲, 陈隆益, 徐如祥, 何永生. NICU自发性脑出血患者急诊开颅术后医院获得性肺炎的危险因素分析[J/OL]. 中华神经创伤外科电子杂志, 2025, 11(04): 250-255.
[5] 刘羽阳, 封亚平. 靶向创伤性颅脑损伤神经炎症的药物治疗研究进展[J/OL]. 中华神经创伤外科电子杂志, 2025, 11(03): 137-143.
[6] 方九强, 翟雨, 杨俊峰, 沈斌. 颅内血肿清除术联合去骨瓣减压术治疗创伤性颅脑损伤患者的效果分析[J/OL]. 中华神经创伤外科电子杂志, 2025, 11(03): 160-166.
[7] 马行远, 孙洪涛, 王景景, 任党利, 李泽萌, 丁晓, 张宇航, 邓廷桢, 陈月阳, 王淑莹, 杨以太, 王贺孔, 郑茂华. GRP75在创伤性颅脑损伤所致神经炎症中的机制研究[J/OL]. 中华神经创伤外科电子杂志, 2025, 11(02): 75-85.
[8] 李彦腾, 张剑宁. 轻型颅脑战创伤的诊治[J/OL]. 中华神经创伤外科电子杂志, 2025, 11(01): 1-4.
[9] 张瑜廉, 党韩寒, 张传鹏, 何昆, 陈鹏宇, 张昀昇, 王在, 张黎, 于炎冰. 创伤性脑损伤急性期细胞焦亡关键分子的竞争性内源性RNA调控网络构建与验证[J/OL]. 中华神经创伤外科电子杂志, 2025, 11(01): 5-16.
[10] 吕一帆, 张斌, 茆翔, 刘佰运, 高国一, 牛非. 定量蛋白质组学分析皮质酮对急性创伤性脑损伤的神经保护作用[J/OL]. 中华神经创伤外科电子杂志, 2025, 11(01): 17-25.
[11] 胡志恒, 任洪波, 宋志远, 曲大成, 张运刚, 朱旭. 重型颅脑损伤患者外周血CCL20、CCL23与继发性大面积脑梗死的关系[J/OL]. 中华脑科疾病与康复杂志(电子版), 2025, 15(02): 108-114.
[12] 刘昕, 张至君, 王绅, 张敏, 王如海, 彭丽, 张高健. 轻型创伤性脑损伤患者早期病情恶化的影响因素分析[J/OL]. 中华脑科疾病与康复杂志(电子版), 2025, 15(01): 31-37.
[13] 刘兴庆, 孟祥洋, 李森, 王海燕, 谢友红, 杨策. 胆碱能α7 烟碱型乙酰胆碱受体通路对高原冲击性脑损伤后肺脏功能的影响研究进展[J/OL]. 中华诊断学电子杂志, 2025, 13(01): 65-70.
[14] 孙攀喜, 魏丽丽, 陈勇, 樊东升. 王不留行黄酮苷对小鼠缺血性脑损伤的影响[J/OL]. 中华脑血管病杂志(电子版), 2025, 19(03): 220-227.
[15] 杨毅, 申珅, 万孟夏, 张拥波. 术前外周血炎症指标对颈动脉支架置入术后同侧新发无症状缺血性脑损伤的预测价值[J/OL]. 中华脑血管病杂志(电子版), 2025, 19(01): 13-18.
阅读次数
全文


摘要


AI


AI小编
你好!我是《中华医学电子期刊资源库》AI小编,有什么可以帮您的吗?