切换至 "中华医学电子期刊资源库"

中华神经创伤外科电子杂志 ›› 2026, Vol. 12 ›› Issue (01) : 57 -59. doi: 10.3877/cma.j.issn.2095-9141.2026.01.009

病例报告

儿童颅内巨大脑膜瘤一例报道
汪嘉曦1, 叶曾盼盼2, 冉茂兵3, 刘文科2,()   
  1. 1610000 成都,四川大学华西天府医院神经外科
    2610000 成都,四川大学华西医院神经外科
    3636400 巴中,四川省平昌县人民医院神经外科
  • 收稿日期:2024-11-28 出版日期:2026-02-15
  • 通信作者: 刘文科

Giant intracranial meningioma in children: one case report

Jiaxi Wang, Zengpanpan Ye, Maobing Ran   

  • Received:2024-11-28 Published:2026-02-15
引用本文:

汪嘉曦, 叶曾盼盼, 冉茂兵, 刘文科. 儿童颅内巨大脑膜瘤一例报道[J/OL]. 中华神经创伤外科电子杂志, 2026, 12(01): 57-59.

Jiaxi Wang, Zengpanpan Ye, Maobing Ran. Giant intracranial meningioma in children: one case report[J/OL]. Chinese Journal of Neurotraumatic Surgery(Electronic Edition), 2026, 12(01): 57-59.

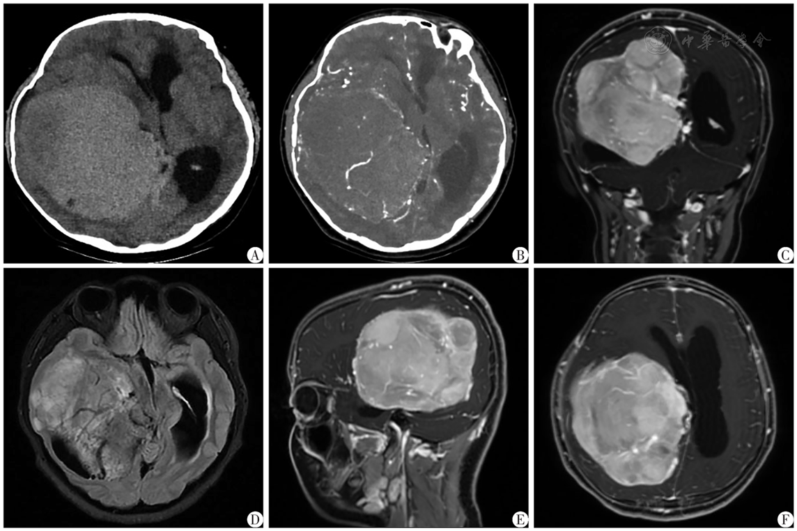
图1 颅内巨大脑膜瘤患儿术前影像学资料A:CT;B:CTA;C:增强MRI T1WI冠状位;D:MRI轴位T2 FLAIR加权;E~F:增强MRI T1WI(E:矢状位;F:轴位)
Fig.1 Preoperative imaging data of a child with intracranial giant meningioma
图2 颅内巨大脑膜瘤患儿术中电生理监测动态变化A:左上肢躯体感觉诱发电位;B:右上肢躯体感觉诱发电位;C:左下肢躯体感觉诱发电位;D:右下肢躯体感觉诱发电位(第1行为术前检测结果,2~11行为按时间顺序排列的术中检测情况);E:经颅运动诱发电位
Fig.2 Dynamic changes of intraoperative electrophysiological monitoring in children with giant intracranial meningiomas
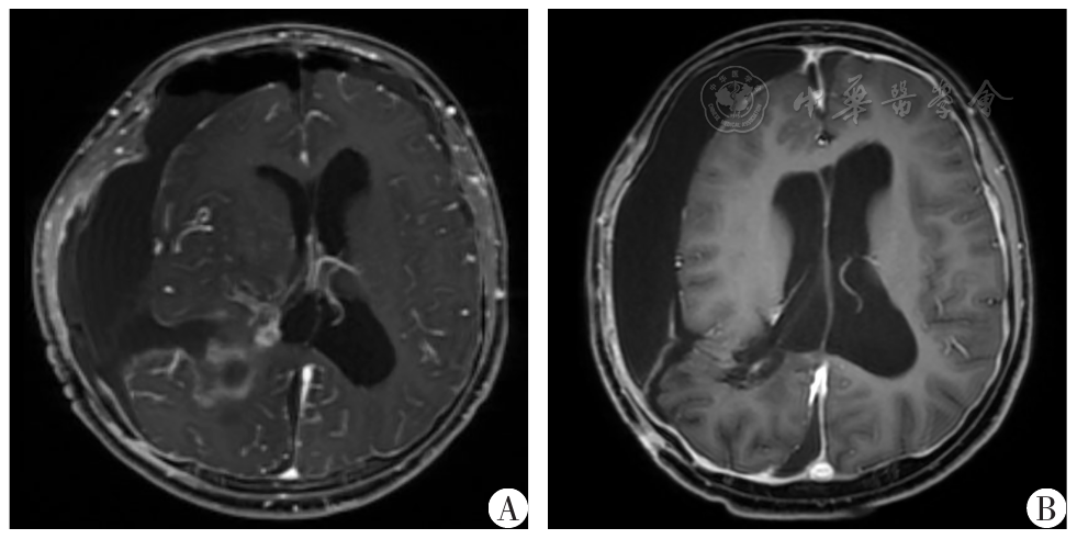
图3 颅内巨大脑膜瘤患儿术后MRI资料A:术后7 d增强T1WI;B:术后2个月增强T1WI
Fig.3 Preoperative and postoperative MRI dating of a child with intracranial giant meningioma
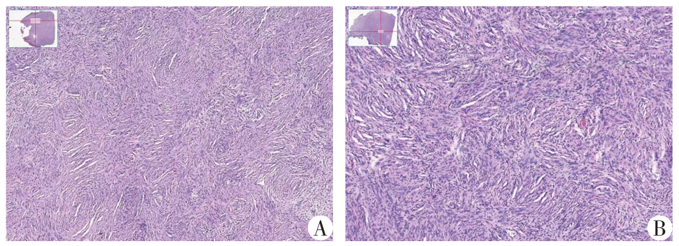
图4 肿瘤形态学特征(梭形细胞增生性病变,HE染色,×40)A:显微镜下病理切片左上角;B:显微镜下病理切片右下角
Fig.4 Tumor morphological characteristics (spindle cell proliferative lesions, HE staining, ×40)
[1]
钟东.大脑凸面脑膜瘤的个体化全程管理[J].中华神经创伤外科电子杂志, 2023, 9(4): 193-198. DOI: 10.3877/cma.j.issn.2095-9141.2023.04.001.
[2]
Maggio I, Franceschi E, Tosoni A, et al. Meningioma: Not always a benign tumor. A review of advances in the treatment of meningiomas[J]. CNS Oncol, 2021, 10(2): CNS72. DOI: 10.2217/cns-2021-0003.
[3]
Phillips D, Auguste KI, Gupta N. Meningiomas in children[J]. Handb Clin Neurol, 2020, 169: 253-259. DOI: 10.1016/b978-0-12-804280-9.00016-0.
[4]
Liu J, Zhao K, Wang J, et al. Clinical features and long-term outcomes of pediatric meningiomas[J]. Childs Nerv Syst, 2021, 37(10): 3041-3047. DOI: 10.1007/s00381-021-05296-4.
[5]
Azmitia L, Taylor G, Massimi L, et al. Pediatric meningiomas: current insights on pathogenesis and management[J]. Acta Neurochir Suppl, 2023, 135: 69-74. DOI: 10.1007/978-3-031-36084-8_12.
[6]
He W, Liu Z, Teng H, et al. Pediatric meningiomas: 10-year experience with 39 patients[J]. J Neurooncol, 2020, 149(3): 543-553. DOI: 10.1007/s11060-020-03649-8.
[7]
Kotecha RS, Jacoby P, Cole CH, et al. Morbidity in survivors of child and adolescent meningioma[J]. Cancer, 2013, 119(24): 4350-4357. DOI: 10.1002/cncr.28366.
[8]
Opoku I, Yang L, Sun P, et al. Pediatric cerebral meningioma: a single-center study with 10 children not associated with neurofibromatosis type 2 and literature review[J]. Pediatr Neurosurg, 2022, 57(6): 422-433. DOI: 10.1159/000526541.
[9]
曾伟彬,张欢,罗珍,等.儿童脑膜瘤CT和MRI影像表现分析(附14例病例)[J].临床放射学杂志, 2024, 43(5): 823-826.
[10]
周良辅.脑膜瘤的精准医学现状[J].中华脑科疾病与康复杂志(电子版), 2021, 11(4): 193-195. DOI: 10.3877/cma.j.issn.2095-123X.2021.04.001.
[11]
Kotecha RS, Pascoe EM, Rushing EJ, et al. Meningiomas in children and adolescents: a meta-analysis of individual patient data[J]. Lancet Oncol, 2011, 12(13): 1229-1239. DOI: 10.1016/s1470-2045(11)70275-3.
[1] 冯学乾, 王千丹, 张旭. 乳腺叶状肿瘤的诊疗进展与全程管理策略[J/OL]. 中华乳腺病杂志(电子版), 2026, 20(02): 115-119.
[2] 焦瑞, 徐刚, 练慧斌, 殷志敏, 韩辉, 周杰. 骨盆骨折大出血患者动脉栓塞术后臀肌及皮肤坏死治疗方法的探讨[J/OL]. 中华损伤与修复杂志(电子版), 2026, 21(01): 7-11.
[3] 罗旭芳, 王艳子, 滕红娜, 赵德莉, 袁丽, 靳思雨, 官浩. 基于时机理论对重度烧伤患儿照护者照护体验的质性研究[J/OL]. 中华损伤与修复杂志(电子版), 2026, 21(01): 40-46.
[4] 王妮, 赵哲, 王敏, 缪怡. 瑞马唑仑联合右美托咪定滴鼻在小儿腹腔镜疝囊高位结扎术中的应用[J/OL]. 中华疝和腹壁外科杂志(电子版), 2026, 20(02): 190-194.
[5] 尤薇, 李青青, 金华, 王平, 周美玲, 陈樽, 黄永刚. 腹直肌分离补片修补手术对腹壁核心健康的影响[J/OL]. 中华疝和腹壁外科杂志(电子版), 2026, 20(01): 101-107.
[6] 王宏, 董国强, 张兴洲, 刘韦鋆, 张楠. 机器人辅助对比腹腔镜下复杂腹壁疝手术短期疗效分析[J/OL]. 中华疝和腹壁外科杂志(电子版), 2026, 20(01): 68-73.
[7] 胡海贇, 惠舟奇, 王春, 张婷, 李晓露, 李丹, 张玲玲, 沈爱珠, 张静佳, 高欢欢. 39 025例上海儿童呼吸道病原体感染及流行病学特征分析[J/OL]. 中华肺部疾病杂志(电子版), 2026, 19(01): 117-123.
[8] 麦吾兰江·麦麦提, 阿力娅·图拉丁, 吐尔洪江·吐逊. ABO血型不相容肝移植免疫抑制策略[J/OL]. 中华肝脏外科手术学电子杂志, 2026, 15(02): 152-159.
[9] 陈赛文, 吴青杰, 林昱东, 张思成. 超声引导下闭合复位克氏针固定与切开复位克氏针固定治疗儿童肱骨内上髁骨折的疗效比较[J/OL]. 中华肩肘外科电子杂志, 2026, 14(01): 38-44.
[10] 王辉, 孙咏琪. 儿童遗传性肾脏病再认识[J/OL]. 中华肾病研究电子杂志, 2026, 15(01): 8-14.
[11] 赵文龙, 刘冬, 达娜, 古力米热, 张经, 木拉地力, 吉文玉. 多模态技术在儿童脑功能区肿瘤切除术中的应用进展[J/OL]. 中华神经创伤外科电子杂志, 2026, 12(01): 45-51.
[12] 孙太鹏, 袁勇贵. 儿童青少年精神卫生服务的现状与展望[J/OL]. 中华临床医师杂志(电子版), 2025, 19(11): 805-808.
[13] 洪素, 况利. ICD-11 CDDR框架下的实践参考:儿童青少年心境障碍[J/OL]. 中华临床医师杂志(电子版), 2025, 19(11): 814-817.
[14] 陈妍, 陈珏. ICD-11 CDDR框架下的实践参考:儿童青少年心身疾病[J/OL]. 中华临床医师杂志(电子版), 2025, 19(11): 818-822.
[15] 柯嘉慧, 刘新献. 双侧岩下窦静脉采血精准诊断儿童疑难库欣病1例并文献复习[J/OL]. 中华介入放射学电子杂志, 2026, 14(01): 114-117.
阅读次数
全文


摘要


AI


AI小编
你好!我是《中华医学电子期刊资源库》AI小编,有什么可以帮您的吗?