切换至 "中华医学电子期刊资源库"

中华神经创伤外科电子杂志 ›› 2026, Vol. 12 ›› Issue (01) : 39 -44. doi: 10.3877/cma.j.issn.2095-9141.2026.01.006

短篇论著

脑实质内表皮样囊肿影像特征及误判分析
汤为1, 文海涛2, 屈耀铭2, 马安东2, 黄成燕2, 芮琦虹2, 蒋春秀2, 王显龙2,()   
  1. 1523750 广东东莞,东莞市黄江医院放射科
    2510282 广州,南方医科大学珠江医院影像诊断科
  • 收稿日期:2025-07-31 出版日期:2026-02-15
  • 通信作者: 王显龙

Imaging characteristics and misdiagnosis analysis of intraparenchymal epidermoid cysts

Wei Tang1, Haitao Wen2, Yaoming Qu2, Andong Ma2, Chengyan Huang2, Qihong Rui2, Chunxiu Jiang2, Xianlong Wang2,()   

  1. 1Department of Radiology, Huangjiang Hospital of Dongguan City, Dongguan 523750, China
    2Department of Diagnostic Imaging, Zhujiang Hospital of Southern Medical University, Guangzhou 510282, China
  • Received:2025-07-31 Published:2026-02-15
  • Corresponding author: Xianlong Wang
引用本文:

汤为, 文海涛, 屈耀铭, 马安东, 黄成燕, 芮琦虹, 蒋春秀, 王显龙. 脑实质内表皮样囊肿影像特征及误判分析[J/OL]. 中华神经创伤外科电子杂志, 2026, 12(01): 39-44.

Wei Tang, Haitao Wen, Yaoming Qu, Andong Ma, Chengyan Huang, Qihong Rui, Chunxiu Jiang, Xianlong Wang. Imaging characteristics and misdiagnosis analysis of intraparenchymal epidermoid cysts[J/OL]. Chinese Journal of Neurotraumatic Surgery(Electronic Edition), 2026, 12(01): 39-44.

目的

分析脑实质内表皮样囊肿(IEC)的影像特征及误判原因,为临床诊疗提供借鉴。

方法

回顾性选取南方医科大学珠江医院神经外科自2015年1月至2025年4月经手术病理证实的8例IEC患者为研究对象,基于术前影像学资料,系统分析临床特征、影像表现、诊断结果及误判原因。

结果

8例患者中,病变位于额叶、颞叶及小脑各2例,枕叶、脑干各1例;7例累及皮质或皮质下区,1例累及脑干后部浅表区域。1例为不规则形实性,CT以钙化密度为主,MRI以T1WI高信号、T2WI稍低信号为主;7例为囊性病变,CT呈低或稍低密度,MRI呈T1WI低或稍低信号、T2WI高信号,伴内部片絮状影(1例呈漩涡状改变),其中5例伴脑实质局部虫蚀样破坏。6例MRI检查者FLAIR信号不均匀减低,2例DWI无弥散受限,1例DTI灶周白质纤维束受压移位及部分中断,1例颅内散在脂滴,3例增强扫描无强化。术前定位诊断不准确4例,定性诊断误判3例。

结论

IEC罕见且影像表现复杂多样,术前容易误判,综合临床与多模态影像特征分析,可提高术前诊断准确率、减少误判,为后续治疗策略提供关键决策信息。

Objective

To analyze the imaging characteristics and causes of misdiagnosis in intraparenchymal epidermoid cysts (IEC), providing reference for clinical diagnosis and treatment.

Methods

Eight patients with IEC confirmed by surgical pathology in Neurosurgery Department of Zhujiang Hospital of Southern Medical University from January 2015 to April 2025 were selected retrospectively. Based on preoperative imaging data, the clinical characteristics, imaging manifestations, diagnosis results and causes of miscarriage of justice were systematically analyzed.

Results

Among the 8 cases, the lesions were located in the frontal lobe, temporal lobe, and cerebellum in 2 cases each, and in the occipital lobe and brainstem in 1 case each; 7 cases involved the cortex or subcortical area, and 1 case involved the superficial area behind the brainstem. One case had irregular solid shape, with CT showing mainly calcified density and MRI showing mainly high signal on T1WI and slightly low signal on T2WI; 7 cases were cystic, with CT showing hypodense or slightly hypodense, MRI showing hypo- or slightly hypointense on T1WI and hyperintense signals on T2WI, accompanied by internal flocculent shadows (one case showed vortex like changes), of which 5 cases were associated with local moth-eaten parenchymal destruction. Six cases of MRI examination showed uneven FLAIR signal reduction, 2 cases had no diffusion restriction on DWI, 1 case had white matter fiber bundle displacement and partial interruption around DTI lesion, 1 case had scattered lipid droplets in the skull, and 3 cases showed no enhancement in the enhanced scan. Preoperative diagnosis revealed inaccurate localization in 4 cases and incorrect characterization in 3 cases.

Conclusions

IECs are extremely rare and exhibit complex imaging features, leading to frequent misdiagnosis. Comprehensive analysis integrating clinical presentation and multimodal imaging characteristics can improve preoperative diagnostic accuracy, reduce misdiagnosis, and provide crucial information for treatment strategies.

图1 左侧颞叶表皮样囊肿患者术前影像资料A:CT以低密度为主,CT值-7.9~7.7 HU,伴内部片絮状影(白色箭头所示)及边缘局部钙化(红色箭头所示);B:MRI T1WI呈低信号,伴内部漩涡状T1WI高信号(红色箭头所示);C:FLAIR信号不均匀减低(白色箭头所示),伴漩涡状改变(红色箭头所示);D:边缘轻度线样强化(白色箭头所示),与脑实质交界区虫蚀样破坏/尖角样突起(红色箭头所示)
Fig.1 Preoperative imaging data of the patient with an epidermoid cyst in the left temporal lobe
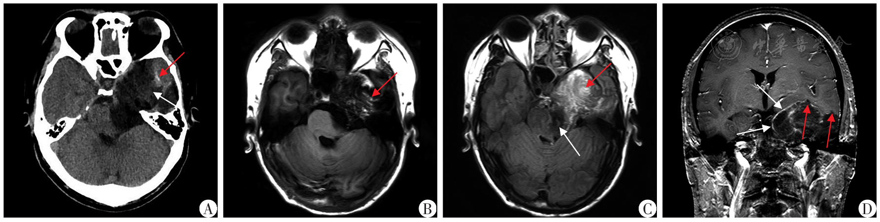
图2 左侧枕叶表皮样囊肿患者术前影像及术后病理资料A:CT以稍低密度为主,CT值26.5 HU,边缘少许钙化(白色箭头所示);B:MRI T1WI呈稍低信号,伴内部少许片絮状等信号(红色箭头所示);C:FLAIR信号不均匀减低、灶周局部脑水肿(红色箭头所示);D:DWI无弥散受限;E:边缘环形强化及疑似壁结节明显强化(红色箭头所示),交界区脑实质虫蚀样破坏/尖角状突起(白色箭头所示);F:DTI示病变周围白质纤维束受压推压(白色箭头所示)、部分中断(红色箭头所示);G:病理示囊壁复层鳞状上皮及囊内角化物(HE染色,×200)
Fig.2 Preoperative imaging and postoperative pathological data of patient with an epidermal cyst in the left occipital
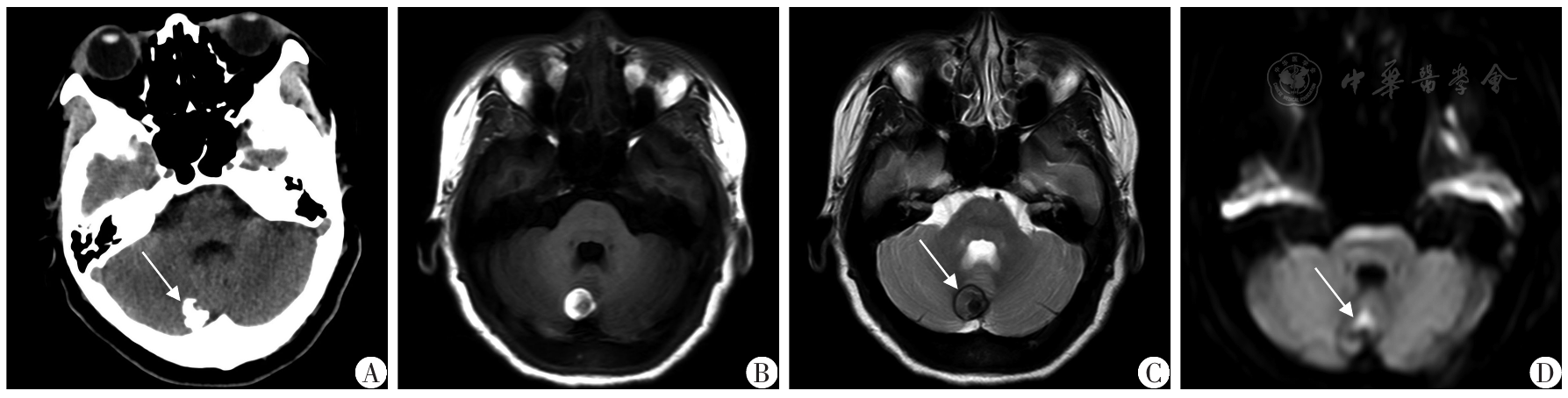
图3 右侧小脑白色表皮样囊肿患者术前影像资料A:CT以钙化密度为主(箭头所示)伴少许等密度;B:MRI T1WI呈高信号为主,中心少许稍低信号;C:MRI T2WI呈稍低信号为主,内部少许低信号,边缘见环形短T2信号含铁血黄素沉积(箭头所示);D:DWI呈部分高信号,但无弥散受限(箭头所示)
Fig.3 Preoperative imaging data of the patient with white epidermoid cyst in the right cerebellum
[1]
Malveira AS, da Costa MDS, Flores EIB, et al. Intrinsic epidermoid cyst of the brainstem in children-review and case report[J]. Childs Nerv Syst, 2023, 39(12): 3361-3369. DOI: 10.1007/s00381-023-06175-w.
[2]
de Macêdo Filho LJM, Aguiar GCM, Pessoa FC, et al. Intraparenchymal epidermoid cyst close to Broca area-awake craniotomy and gross total resection[J]. World Neurosurg, 2020, 141: 367-372. DOI: 10.1016/j.wneu.2020.06.135.
[3]
Kumar A, Maurya VP, Kanjilal S, et al. Clinicoradiological features and treatment outcome of supratentorial intraparenchymal epidermoid cyst: a report of five cases and literature review[J]. J Neurosci Rural Pract, 2021, 12(3): 571-580. DOI: 10.1055/s-0041-1730125.
[4]
Zheng J, Wang C, Liu F. Intraparenchymal epidermoid cyst: proper surgical management may lead to satisfactory outcome[J]. J Neurooncol, 2018, 138(3): 591-599. DOI: 10.1007/s11060-018-2826-4.
[5]
Jamjoom DZ, Alamer A, Tampieri D. Correlation of radiological features of white epidermoid cysts with histopathological findings[J]. Sci Rep, 2022, 12(1): 2314. DOI: 10.1038/s41598-022-06167-x.
[6]
郑舒畅,齐霜,余建东,等.以癫痫发作为首发症状的表皮样囊肿合并脑皮质发育不良一例报道[J].中华神经医学杂志, 2019, 18(8): 830-832. DOI: 10.3760/cma.j.issn.1671-8925.2019.08.013.
[7]
Kaido T, Okazaki A, Kurokawa S, et al. Pathogenesis of intraparenchymal epidermoid cyst in the brain: a case report and review of the literature[J]. Surg Neurol, 2003, 59(3): 211-216. DOI: 10.1016/s0090-3019(02)01042-x.
[8]
白玉贞,牛广明,高阳.颅内不典型表皮样囊肿的MRI表现[J].临床放射学杂志, 2015, 34(7): 1048-1052.
[9]
Cheng Z, Fan SZ, Sun YX, et al. Lateral intraventricular epidermoid cyst: a case report and literature review[J]. Neurol India, 2023, 71(5): 1002-1006. DOI: 10.4103/0028-3886.388112.
[10]
Kannan S, Kumar AS, Syamala S. A rare case of pediatric intraparenchymal epidermoid cyst: case report and review of literature[J]. J Pediatr Neurosci, 2018, 13(1): 96-99. DOI: 10.4103/jpn.Jpn_30_17.
[11]
Yudhanto HP, Ferriastuti W, Mukherji SK. Calcified cystic lesion in cerebellum: a case report[J]. Radiol Case Rep, 2024, 19(7): 2791-2796. DOI: 10.1016/j.radcr.2024.03.061.
[12]
Nitheesha Reddy V, Nagarajan K, Midhusha Reddy V, et al. Spectrum of intracranial and spinal epidermoids including unusual locations and imaging findings: a pictorial review[J]. J Med Imaging Radiat Oncol, 2023, 67(1): 65-76. DOI: 10.1111/1754-9485.13495.
[13]
李鑫,李远,柴家荣,等.颅内白色表皮样囊肿的CT、MRI表现及分析[J].实用放射学杂志, 2025, 41(1): 18-21. DOI: 10.3969/j.issn.1002-1671.2025.01.005.
[14]
邱晓明,王弘,饶德利.脑内型表皮样囊肿的CT和MRI诊断[J].临床放射学杂志, 2011, 30(7): 1059-1061.
[15]
欧光乾,夏贤武,刘含秋,等.脑实质型表皮样囊肿的MRI表现及相关病理学基础与临床[J].中国医学计算机成像杂志, 2018, 24(4): 287-291. DOI: 10.3969/j.issn.1006-5741.2018.04.003.
[16]
孟令惠,何杰,崔建岭.中枢神经系统肿瘤破裂脂滴进入脑脊液三例分析及文献复习[J].中华神经医学杂志, 2014, 13(6): 630-632. DOI: 10.3760/cma.j.issn.1671-8925.2014.06.020.
[17]
麦麦提力·米吉提,李云雷,吴昊,等.弥散张量成像传导束重建技术指导高级别胶质瘤切除的临床研究[J].中华神经创伤外科电子杂志, 2022, 8(2): 101-105. DOI: 10.3877/cma.j.issn.2095-9141.2022.02.008.
[1] 侯超, 夏纪筑, 李明星, 何文, 张巍. TCS-MR融合成像揭示帕金森病黑质高回声的空间分布特征[J/OL]. 中华医学超声杂志(电子版), 2025, 22(10): 944-954.
[2] 武林, 贾慧惠, 周琦芳, 陈巧云, 王爱平, 李卉. 颅脑多模态功能MRI指标联合临床特征对儿童脑功能发育迟缓的诊断价值[J/OL]. 中华妇幼临床医学杂志(电子版), 2025, 21(06): 650-657.
[3] 翟羽翔, 陈仁吉. 语音治疗对非综合征型唇腭裂言语障碍患者大脑神经网络影响的研究进展[J/OL]. 中华口腔医学研究杂志(电子版), 2025, 19(06): 418-423.
[4] 戴宗伯, 张城硕, 郭庭维, 何知远, 赵昊宇, 张宇慈, 张佳林. 基于MRI影像组学机器学习构建肝细胞癌微血管侵犯预测模型[J/OL]. 中华肝脏外科手术学电子杂志, 2026, 15(01): 36-44.
[5] 李健文, 陈莹, 陈羲, 宗晓丹. 钆塞酸二钠增强MRI在高分化小肝癌和不典型增生结节鉴别诊断中的应用[J/OL]. 中华肝脏外科手术学电子杂志, 2025, 14(06): 875-881.
[6] 刘郁芳, 赵青. 直肠癌MRI影像学评估:从精准分期到预后预测的研究进展与展望[J/OL]. 中华结直肠疾病电子杂志, 2026, 15(01): 31-36.
[7] 鲁莽, 马晓璐, 沈浮, 王颢, 邵成伟, 张卫, 陆建平, 陆海迪. 基于磁共振的深度学习重建方法在直肠癌术前评估中的应用研究[J/OL]. 中华结直肠疾病电子杂志, 2025, 14(05): 445-456.
[8] 高增霞, 贺云飞, 赵娜. DCE-MRI联合Gd-EOB-DTPA MRI纹理特征对肝细胞癌经导管动脉化疗栓塞术后疗效的评估[J/OL]. 中华消化病与影像杂志(电子版), 2026, 16(02): 108-113.
[9] 常莉娜, 刘囡囡. DWI联合DCE-MRI定量参数对局部进展期直肠癌新辅助治疗后病理完全缓解的预测价值[J/OL]. 中华消化病与影像杂志(电子版), 2026, 16(02): 125-129.
[10] 孙钢. 零液氦磁共振成像系统的发展现状和展望[J/OL]. 中华消化病与影像杂志(电子版), 2026, 16(01): 1-5.
[11] 赵欣, 李昊昌, 赵海玥, 房秀霞, 卫星彤. 超声联合X线摄影和MRI对肿块型和非肿块型乳腺病变的诊断价值[J/OL]. 中华临床医师杂志(电子版), 2025, 19(10): 758-766.
[12] 魏晓雅, 王旭, 蒋馨源, 杨娜娜, 王泽一, 屠建锋, 刘存志. 针刺治疗原发性高血压的磁共振成像临床研究进展[J/OL]. 中华针灸电子杂志, 2026, 15(01): 43-46.
[13] 林净净, 韩佳育, 成官迅, 李世峰. 基于ABIDE数据库的孤独症谱系障碍小脑形态自动分割与多中心验证[J/OL]. 中华诊断学电子杂志, 2026, 14(01): 24-30.
[14] 汪艺宸, 陈涛, 周嘉璇, 李新春, 万齐. 中国肺癌磁共振成像从功能性成像到影像组学的诊断演进[J/OL]. 中华诊断学电子杂志, 2026, 14(01): 38-43.
[15] 芮春朵, 沈海林, 杜红娣, 邱志富, 于乐林, 李振凯, 叶娟. 多模态磁共振成像技术在食蟹猴脑缺血再灌注模型建立中的应用价值[J/OL]. 中华脑血管病杂志(电子版), 2025, 19(06): 526-531.
阅读次数
全文


摘要


AI


AI小编
你好!我是《中华医学电子期刊资源库》AI小编,有什么可以帮您的吗?