切换至 "中华医学电子期刊资源库"

中华神经创伤外科电子杂志 ›› 2026, Vol. 12 ›› Issue (01) : 24 -29. doi: 10.3877/cma.j.issn.2095-9141.2026.01.004

临床研究

多模态辅助定位在合并颅骨缺损脑积水脑室-腹腔分流术中的临床应用
顾雨佳, 王晓军(), 曹海波, 周林强, 石磊, 于涛, 任峰, 蒋才奇, 卞杰勇   
  1. 215101 苏州市相城人民医院神经外科
  • 收稿日期:2024-11-26 出版日期:2026-02-15
  • 通信作者: 王晓军

Clinical application of multimodal assisted localization in ventriculo-peritoneal shunt for the treatment of hydrocephalus with skull defects

Yujia Gu, Xiaojun Wang(), Haibo Cao, Linqiang Zhou, Lei Shi, Tao Yu, Feng Ren, Caiqi Jiang, Jieyong Bian   

  1. Department of Neurosurgery, Suzhou Xiangcheng People's Hospital, Suzhou 215101, China
  • Received:2024-11-26 Published:2026-02-15
  • Corresponding author: Xiaojun Wang
  • Supported by:
    Special Program for Diagnosis and Treatment Technologies of Key Clinical Diseases in Suzhou(LCZX202233)
引用本文:

顾雨佳, 王晓军, 曹海波, 周林强, 石磊, 于涛, 任峰, 蒋才奇, 卞杰勇. 多模态辅助定位在合并颅骨缺损脑积水脑室-腹腔分流术中的临床应用[J/OL]. 中华神经创伤外科电子杂志, 2026, 12(01): 24-29.

Yujia Gu, Xiaojun Wang, Haibo Cao, Linqiang Zhou, Lei Shi, Tao Yu, Feng Ren, Caiqi Jiang, Jieyong Bian. Clinical application of multimodal assisted localization in ventriculo-peritoneal shunt for the treatment of hydrocephalus with skull defects[J/OL]. Chinese Journal of Neurotraumatic Surgery(Electronic Edition), 2026, 12(01): 24-29.

目的

探讨术前Mark联合术中超声多模态辅助定位在合并颅骨缺损脑积水患者脑室-腹腔分流术中的临床应用价值。

方法

回顾性分析苏州市相城人民医院神经外科自2019年1月至2024年1月收治的46例脑积水合并颅骨缺损行脑室-腹腔分流术患者的临床资料,其中26例患者采用术前Mark定位联合术中超声多模态技术完成手术(改良手术组),20例采用传统方法完成手术(传统手术组)。比较2组患者的穿刺置管精度、穿刺次数、手术时间及围术期并发症发生率。术后随访3~24个月,采用改良Rankin量表(mRS)评估2组患者的功能恢复情况。

结果

改良手术组患者的分流管脑室端放置位置明显优于传统手术组,穿刺次数少于传统手术组,差异均有统计学意义(P<0.05)。2组患者的手术用时、围术期并发症发生率比较,差异均无统计学意义(P>0.05)。随访3~24个月,2组患者的mRS评分分布差异有统计学意义(P<0.05),但总有效率差异无统计学意义(P>0.05)。

结论

合并颅骨缺损的脑积水患者行脑室-腹腔分流术中采用术前Mark定位联合术中超声引导,脑室端放置更精确,成本更低。

Objective

To investigate the clinical value of preoperative Mark combined with intraoperative ultrasound multimodal assisted localization in ventriculo-peritoneal shunt for the treatment of hydrocephalus and skull defects.

Methods

A retrospective analysis was conducted on the clinical data of 46 patients with hydrocephalus and skull defects who underwent ventriculo-peritoneal shunt surgery in the Neurosurgery Department of Suzhou Xiangcheng People's Hospital from January 2019 to January 2024. Among them, 26 patients underwent surgery using preoperative Mark positioning combined with intraoperative ultrasound multimodal technology (modified surgery group), and 20 patients underwent surgery using traditional methods (traditional surgery group). The accuracy of puncture catheterization, number of punctures, surgical time, and perioperative complications were compared between two groups of patients. Follow up for 3-24 months after surgery was conducted to evaluate the functional recovery of two groups of patients using the modified Rankin scale (mRS).

Results

The position of the ventricular catheter position in the modified surgery group was significantly better than that in the traditional surgery group, and the number of punctures was less than that in the traditional surgery group, with statistically significant differences (P<0.05). There was no statistically significant difference in the surgical time and incidence of perioperative complications between the two groups of patients (P>0.05). During the follow-up period of 3-24 months, there was a statistically significant difference in the distribution of mRS scores between the two groups of patients (P<0.05), but there was no statistically significant difference in the total effective rate (P>0.05).

Conclusions

In patients with hydrocephalus complicated by skull defects, the use of preoperative Mark localization and intraoperative ultrasound guidance during ventriculo-peritoneal shunt surgery is more accurate with low cost.

图1 去骨瓣减压术后合并脑积水患者行多模态辅助脑室-腹腔分流术术前Mark标记及计划靶点设定A:水平位;B:矢状位;C:冠状位;D:三维模拟图
Fig.1 Preoperative Mark marking and planned target setting for multimodal assisted ventriculo-peritoneal shunt surgery in patients with hydrocephalus after decompressive craniectomy
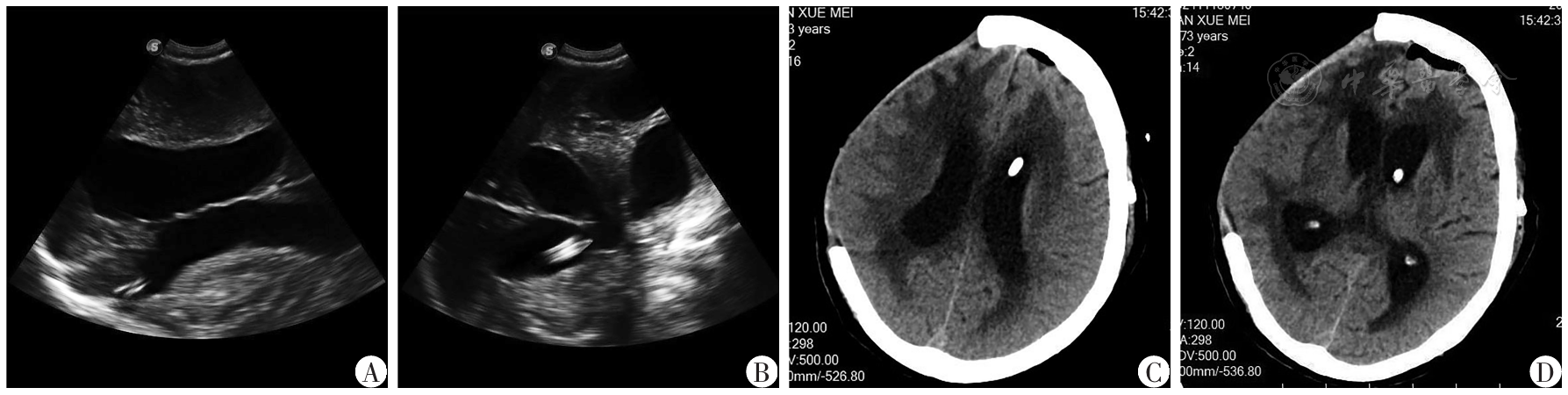
图2 去骨瓣减压术后合并脑积水患者行多模态辅助脑室-腹腔分流术术中实时引导脑室端超声及术后CT影像A:术中超声引导分流管头端进入侧脑室;B:术中超声引导分流管头端到达侧脑室室间孔附近;C:术后第2天CT示分流管进入脑室位置;D:术后第2天CT示分流管头端位于脑室室间孔附近
Fig.2 Real-time ultrasound guidance for intraventricular catheter placement and postoperative CT imaging during multimodal-assisted ventriculo-peritoneal shunt surgery in patients with hydrocephalus following decompressive craniectomy
表1 2组去骨瓣减压术后合并脑积水患者穿刺置管精度比较[例(%)]
Tab.1 Comparison of puncture and catheter placement accuracy between two groups of patients with hydrocephalus after decompressive craniectomy [n(%)]
表2 2组去骨瓣减压术后合并脑积水患者mRS评分比较[例(%)]
Tab.2 Comparison of mRS scores between two groups of patients with hydrocephalus after decompressive craniectomy [n(%)]
[1]
Williams JR, Meyer MR, Ricard JA, et al. Re-examining decompressive craniectomy medial margin distance from midline as a metric for calculating the risk of post-traumatic hydrocephalus[J]. J Clin Neurosci, 2021, 87: 125-131. DOI: 10.1016/j.jocn.2021.02.025.
[2]
Yathindra MR, Sabu N, Lakshmy S, et al. Navigating the role of surgery in optimizing patient outcomes in traumatic brain injuries (TBIs): a comprehensive review[J]. Cureus, 2024, 16(10): e71234. DOI: 10.7759/cureus.71234.
[3]
Hochstetler A, Raskin J, Blazer-Yost BL. Hydrocephalus: historical analysis and considerations for treatment[J]. Eur J Med Res, 2022, 27(1): 168. DOI: 10.1186/s40001-022-00798-6.
[4]
Tsarukaev BA, Kravchuk AD, Latyshev YA. Surgical treatment of patients with skull defects and cerebrospinal fluid flow disorders after previous decompressive craniectomy[J]. Zh Vopr Neirokhir Im N N Burdenko, 2023, 87(6): 114-119. DOI: 10.17116/neiro202387061114.
[5]
刘笑宇,常健博,张笑,等.继发性脑积水发病机制研究进展[J].中国现代神经疾病杂志, 2023, 23(6): 490-495. DOI: 10.3969/j.issn.1672-6731.2023.06.004.
[6]
张焕标.重型颅脑损伤患者减压术后继发性脑积水发生的影响因素分析[J].实用中西医结合临床, 2021, 21(8): 127-128. DOI: 10.13638/j.issn.1671-4040.2021.08.063.
[7]
Yamada S, Ishikawa M, Nakajima M, et al. Reconsidering ventriculoperitoneal shunt surgery and postoperative shunt valve pressure adjustment: our approaches learned from past challenges and failures[J]. Front Neurol, 2021, 12: 798488. DOI: 10.3389/fneur.2021.798488.
[8]
Dobran M, Nasi D, Mancini F, et al. Relationship between the location of the ventricular catheter tip and the ventriculoperitoneal shunt malfunction[J]. Clin Neurol Neurosurg, 2018, 175: 50-53. DOI: 10.1016/j.clineuro.2018.10.006.
[9]
Li Y, Chen X, Wang N, et al. A wearable mixed-reality holographic computer for guiding external ventricular drain insertion at the bedside[J]. J Neurosurg, 2019, 131(5): 1599-1606. DOI: 10.3171/2018.4.Jns18124.
[10]
Montemurro N. Clinical and surgical outcome of endoscopic third ventriculostomy (ETV) and ventriculoperitoneal shunt (VPS) in patients with long-standing overt ventriculomegaly in adults (LOVA): a systematic review[J]. Neurol Res, 2024, 46(1): 81-88. DOI: 10.1080/01616412.2023.2257461.
[11]
Bue EL, Morello A, Bellomo J, et al. Ventriculoatrial shunt remains a safe surgical alternative for hydrocephalus: a systematic review and meta-analysis[J]. Sci Rep, 2024, 14(1): 18460. DOI: 10.1038/s41598-024-62366-8.
[12]
Garcia-Bonilla M, Hariharan P, Gluski J, et al. Ventricular catheter tissue obstruction and shunt malfunction in 9 hydrocephalus etiologies[J]. J Neurosurg Pediatr, 2024, 34(1): 84-93. DOI: 10.3171/2024.2.Peds23356.
[13]
葛鑫,胡婕.不同侧脑室穿刺位置行脑室-腹腔分流术治疗脑积水的临床对比研究[J].哈尔滨医科大学学报, 2024, 58(4): 367-370. DOI: 10.20010/j.issn.1000-1905.2024.04.0367.
[14]
吕亚兵,陈振波,李晓辉,等.混合现实技术在侧脑室穿刺外引流术中的应用[J].中国临床神经外科杂志, 2024, 29(2): 75-78. DOI: 10.13798/j.issn.1009-153X.2024.02.003.
[15]
蔡宁,王彬彬,李征,等. B超引导合并颅骨缺损的脑积水患者分流管脑室端放置的临床价值[J].临床神经外科杂志, 2020, 17(2): 196-199. DOI: 10.3969/j.issn.1672-7770.2020.02.016.
[16]
Zhang L, Mu Z, Shen G, et al. The accuracy and safety of intraoperative ultrasound-guided external ventricular drainage in intraventricular hemorrhage[J]. Sci Rep, 2023, 13(1): 11525. DOI: 10.1038/s41598-023-38567-y.
[17]
Elmesallamy W, Abofaid AMA, Mohamed MS, et al. Pediatric ventriculoperitoneal shunt: a comparative study between anterior fontanel ultrasound-guided versus conventional cranial end insertion[J]. Childs Nerv Syst, 2023, 39(4): 921-928. DOI: 10.1007/s00381-022-05807-x.
[18]
Spennato P, Vitulli F, Onorini N, et al. The effect of image-guided ventricular catheter placement on shunt failure: a systematic review and meta-analysis[J]. Childs Nerv Syst, 2022, 38(6): 1069-1076. DOI: 10.1007/s00381-022-05547-y.
[19]
张定元.术中B超在基层神经外科手术中的运用效果观察[J].浙江创伤外科, 2024, 29(5): 846-848. DOI: 10.3969/j.issn.1009-7147.2024.05.017.
[20]
Oktay K, Sozutok S, Pehlivan UA, et al. Percutaneous ventriculoatrial shunting as a salvage method in the pediatric hydrocephalus patients with peritoneal problems[J]. Turk Neurosurg, 2024, 34(3): 423-428. DOI: 10.5137/1019-5149.Jtn.43472-23.2.
[21]
Quigley DG. Complication avoidance in neurosurgery with use of intraoperative ultrasonography[J]. Acta Neurochir Suppl, 2023, 130: 135-140. DOI: 10.1007/978-3-030-12887-6_17.
[22]
周龙,蔡强.经颅神经内镜在脑室-腹腔分流术中的临床应用进展[J].中华神经外科杂志, 2024, 40(1): 96-98. DOI: 10.3760/cma.j.cn112050-20221208-00570.
[23]
Niedermeyer S, Terpolilli NA, Nerlinger P, et al. Minimally invasive third ventriculostomy with stereotactic internal shunt placement for the treatment of tumor-associated noncommunicating hydrocephalus[J]. Acta Neurochir (Wien), 2023, 165(12): 4071-4079. DOI: 10.1007/s00701-023-05768-3.
[24]
李玉呈,齐文涛,段晓春,等.神经导航下与传统脑室腹腔分流术治疗脑积水的疗效及并发症分析[J].国际外科学杂志, 2017, 44(4): 246-250,封4. DOI: 10.3760/cma.j.issn.1673-4203.2017.04.009.
[25]
李炜,江荣才,佟建洲,等.利用头颅CT重建穿刺平面在脑室穿刺中的指导作用[J].中华神经外科杂志, 2017, 33(12): 1278-1279. DOI: 10.3760/cma.j.issn.1001-2346.2017.12.022.
[26]
施振华,罗诚,唐文学,等.术中B超指引颅内压传感器置入移位、变形脑室的应用价值[J].浙江创伤外科, 2024, 29(4): 619-621. DOI: 10.3969/j.issn.1009-7147.2024.04.006.
[1] 潘辰蕊, 杨冰洁, 沈会明, 王颖彦, 韩佳豪, 李嘉. 多模态超声联合免疫炎症指标预测乳腺癌腋窝淋巴结转移的价值[J/OL]. 中华医学超声杂志(电子版), 2025, 22(10): 969-975.
[2] 高思琦, 张博闻, 蒋天安. 多模态声像图特征预测IgG4相关性胰腺炎应用类固醇类药物后影像学缓解与急性发作[J/OL]. 中华医学超声杂志(电子版), 2025, 22(07): 592-599.
[3] 武林, 贾慧惠, 周琦芳, 陈巧云, 王爱平, 李卉. 颅脑多模态功能MRI指标联合临床特征对儿童脑功能发育迟缓的诊断价值[J/OL]. 中华妇幼临床医学杂志(电子版), 2025, 21(06): 650-657.
[4] 詹彧鸣, 张翔, 翁山耕. 人工智能在腹膜后肿瘤精准诊疗中的研究进展[J/OL]. 中华疝和腹壁外科杂志(电子版), 2025, 19(04): 371-376.
[5] 东小鸽, 樊海宁, 侯立朝, 杜凯豪, 刘海刚, 汪占金, 薛伟伟, 石亚超, 魏六木, 王展. 三维可视化技术、ICG荧光示踪和术中实时超声在肝癌个性化精准诊疗中应用[J/OL]. 中华肝脏外科手术学电子杂志, 2026, 15(02): 181-189.
[6] 唐玥, 陈家璐, 覃德龙, 李宗龙, 汤朝晖, 全志伟. 基于AI的多模态影像在肝癌诊治中应用及面临挑战[J/OL]. 中华肝脏外科手术学电子杂志, 2026, 15(01): 4-9.
[7] 王泽宁, 付强, 李扬, 伊力亚尔·艾海提, 李世明, 马晓鹏, 吐尔洪江·吐合提阿吉, 周庆九, 吴昊. 术中多技术辅助经脑沟入路切除脑深部功能区胶质瘤的疗效分析[J/OL]. 中华神经创伤外科电子杂志, 2025, 11(06): 352-357.
[8] 世界华人神经外科协会颅脑创伤专业委员会, 颅骨缺损修补术专家共识协作组. 颅骨缺损修补术专家共识(2025版)[J/OL]. 中华神经创伤外科电子杂志, 2025, 11(04): 210-219.
[9] 林嘉琪, 邵雨薇, 栾春亮, 舒晴, 田峻. 多模态生物力学评估在非特异性腰痛临床决策中的研究进展[J/OL]. 中华老年骨科与康复电子杂志, 2026, 12(01): 59-64.
[10] 于炎冰. 功能神经外科的数智化发展[J/OL]. 中华脑科疾病与康复杂志(电子版), 2025, 15(05): 257-260.
[11] 常芳媛, 乔春梅, 王欣, 王博冉, 赵梓孚, 李春歌, 王晓磊. 多模态超声及人工智能在细菌性和非细菌性关节炎中应用的研究进展[J/OL]. 中华临床医师杂志(电子版), 2025, 19(08): 606-611.
[12] 石江伟, 李桐, 孙淳. 针灸脑科学理论体系:整合基础、内涵诠释与前景展望[J/OL]. 中华针灸电子杂志, 2025, 14(04): 133-139.
[13] 李媛媛, 马欣, 董静. 缺血性脑血管病患者卵圆孔未闭多模态影像学诊断的研究进展[J/OL]. 中华脑血管病杂志(电子版), 2026, 20(01): 101-106.
[14] 冉卉, 王艳, 王振宇, 胡晓, 蔡力, 杨淋. 类淋巴系统和硬膜淋巴管在颅内出血后脑积水的病理及治疗中的作用[J/OL]. 中华脑血管病杂志(电子版), 2026, 20(01): 82-90.
[15] 芮春朵, 沈海林, 杜红娣, 邱志富, 于乐林, 李振凯, 叶娟. 多模态磁共振成像技术在食蟹猴脑缺血再灌注模型建立中的应用价值[J/OL]. 中华脑血管病杂志(电子版), 2025, 19(06): 526-531.
阅读次数
全文


摘要


AI


AI小编
你好!我是《中华医学电子期刊资源库》AI小编,有什么可以帮您的吗?