切换至 "中华医学电子期刊资源库"

中华神经创伤外科电子杂志 ›› 2025, Vol. 11 ›› Issue (04) : 230 -237. doi: 10.3877/cma.j.issn.2095-9141.2025.04.004

基础研究

LAMP1对脑缺血再灌注大鼠小胶质细胞损伤和自噬的影响
艾孜买提江·吐尔逊1, 玉苏甫·马合木提2, 姜世豪3, 卡合尔曼·卡德尔1, 买买提力·艾沙1, 苏日青1, 成晓江1,()   
  1. 1830000 乌鲁木齐,新疆医科大学第一附属医院神经外科
    2310058 杭州,浙江大学脑科学与脑医学学院
    3100053 北京,首都医科大学宣武医院神经外科
  • 收稿日期:2024-10-29 出版日期:2025-08-15
  • 通信作者: 成晓江

Effects of LAMP1 on microglial cell injury and autophagy in rats with cerebral ischemia-reperfusion injury

Tuerxun Aizimaitijiang1, Mahemuti Yusufu2, Shihao Jiang3, Kadeer Kaheerman1, Aisha Maimaitili1, Riqing Su1, Xiaojiang Cheng1,()   

  1. 1Department of Neurosurgery, the First Affiliated Hospital of Xinjiang Medical University, Urumqi 830000, China
    2School of Brain Science and Brain Medicine, Zhejiang University, Hangzhou 310058, China
    3Department of Neurosurgery, Xuanwu Hospital, Capital Medical University, Beijing 100053, China
  • Received:2024-10-29 Published:2025-08-15
  • Corresponding author: Xiaojiang Cheng
  • Supported by:
    Xinjiang Key Laboratory of Neurological Disorder Research Fund(XJDX1711-2201)
引用本文:

艾孜买提江·吐尔逊, 玉苏甫·马合木提, 姜世豪, 卡合尔曼·卡德尔, 买买提力·艾沙, 苏日青, 成晓江. LAMP1对脑缺血再灌注大鼠小胶质细胞损伤和自噬的影响[J/OL]. 中华神经创伤外科电子杂志, 2025, 11(04): 230-237.

Tuerxun Aizimaitijiang, Mahemuti Yusufu, Shihao Jiang, Kadeer Kaheerman, Aisha Maimaitili, Riqing Su, Xiaojiang Cheng. Effects of LAMP1 on microglial cell injury and autophagy in rats with cerebral ischemia-reperfusion injury[J/OL]. Chinese Journal of Neurotraumatic Surgery(Electronic Edition), 2025, 11(04): 230-237.

目的

探讨溶酶体相关膜蛋白1(LAMP1)对大鼠脑缺血再灌注(CIRI)后小胶质细胞(MG)损伤的作用,及对自噬的影响及机制。

方法

选取30只成年健康SD大鼠,采用短暂性大脑中动脉栓塞(transient middle cerebral artery occlusion, tMCAO)法建立大鼠模型,按照随机数字表法分为假手术组(Sham组)、手术组(tMCAO组)、干预组(tMCAO+CQ组),每组10只。3组大鼠术前均腹腔注射无菌生理盐水,tMCAO+CQ组于术前2 h注射氯喹(CQ)溶酶体抑制剂。每组取5只用于TTC染色,剩余5只取脑组织标本按序完成实验检测。取大鼠脑组织中缺血半暗带区组织,检测细胞中LAMP1蛋白的表达量。为探讨LAMP1在模型中致MG损伤和自噬作用,采用酶联免疫吸附测定(ELISA)试剂盒检测致炎症因子[白介素(IL)-6、肿瘤坏死因子-α(TNF-α)、IL-10]的表达,采用Western blot检测p62、Cathepsin B、Cathepsin D、LC3B蛋白的表达情况。此外,采用Longa分制法评估大鼠CIRI后24 h的神经功能,TTC染色测定脑梗死体积,HE染色观察脑组织病理学变化。

结果

相较于Sham组,tMCAO组和tMCAO+CQ组的Longa评分明显升高,脑梗死体积明显增加,且tMCAO+CQ组的Longa评分高于tMCAO组,脑梗死体积大于tMCAO组,差异均有统计学意义(P<0.05)。ELISA和Western blot检测结果显示,相较于Sham组,tMCAO组与tMCAO+CQ组的LAMP1蛋白表达明显下降,IL-6、TNF-α含量及LC3B、Baclin1蛋白表达水平明显升高,IL-10含量及LAMP1、p62、Cathepsin B及Cathepsin D蛋白表达水平明显降低,差异均有统计学意义(P<0.05);相较于tMCAO组,tMCAO+CQ组LAMP1蛋白表达明显下降,IL-6、TNF-α含量及LC3B、Beclin1蛋白表达水平升高,p62和Cathepsin D蛋白表达水平降低,差异均有统计学意义(P<0.05),而Cathepsin B蛋白的表达水平比较,差异无统计学意义(P>0.05)。

结论

在大鼠CIRI模型中,抑制LAMP1对MG损伤有明显的加重作用,该机制可能与诱导自噬障碍有关。

Objective

To observe the role of lysosomal-associated membrane protein 1 (LAMP1) in microglial (MG) injury in rats subjected to cerebral ischemic-reperfusion injury (CIRI) and to investigate the impact and mechanism of LAMP1 on autophagy in this model.

Methods

Thirty adult healthy SD rats were selected and the rat model was established using transient middle cerebral artery occlusion (tMCAO) method. The rats were randomly divided into sham group (Sham group), surgical group (tMCAO group), and intervention group (tMCAO+CQ group) according to the random number table method, with 10 rats in each group. Three groups of rats were intraperitoneally injected with sterile physiological saline before surgery, while the tMCAO+CQ group was injected with chloroquine (CQ) lysosome inhibitor 2 h before surgery. CIRI rat model was established, and Sham group was the surgical control group. Five samples were taken from each group for TTC staining, and the remaining five brain tissue specimens were collected for experimental testing in sequence. After collecting brain tissue and extracting the ischemic penumbra tissue, the expression of LAMP1 protein in cells was detected. To investigate the effects of LAMP1 on MG injury and autophagy in a model, enzyme-linked immunosorbent assay (ELISA) was used to detect inflammatory factors [interleukin (IL)-6, tumor necrosis factor alpha (TNF-α), IL-10], and Western blot was used to detect the expression of p62, Cathepsin B, Cathepsin D, and LC3B. In addition, the Longa scoring system was used to evaluate the neurological function of rats 24 h after CIRI, TTC staining was used to measure the volume of cerebral infarction, HE staining was used to observe pathological changes in brain tissue.

Results

Compared with the Sham group, the Longa scores of the tMCAO group and the tMCAO+CQ group were significantly increased, and the cerebral infarction volume was significantly increased. The Longa score of the tMCAO+CQ group was higher than that of the tMCAO group, and the cerebral infarction volume was larger than that of the tMCAO group, with statistical significance (P<0.05). The results of ELISA and Western blot analysis showed that compared with the Sham group, the expression of LAMP1 protein was significantly decreased in the tMCAO group and the tMCAO+CQ group, while the levels of IL-6, TNF-α, LC3B, and Baclin1 protein expression were significantly increased. The levels of IL-10 and p62, LAMP1, Cathepsin B, and Cathepsin D protein expression were significantly decreased, and the differences were statistically significant (P<0.05); Compared with the tMCAO group, the expression of LAMP1 protein in the tMCAO+CQ group decreased significantly, while the levels of IL-6, TNF-α, LC3B, and Beclin1 protein increased. The expression levels of p62 and Cathepsin D protein decreased, and the differences were statistically significant (P<0.05). However, there was no statistically significant difference in the expression levels of Cathepsin B protein (P>0.05).

Conclusions

Inhibiting LAMP1 exacerbates glial cell damage in the rat model and this mechanism may be related to the inhibition of autophagy.

表1 3组大鼠脑缺血再灌注损伤后Longa评分及脑梗死体积比较
Tab.1 Comparison of Longa score and cerebral infarct volume after cerebral ischemia-reperfusion injury in 3 groups of rats
图1 3组大鼠脑缺血再灌注损伤后脑组织TTC染色结果
Fig.1 TTC staining results of brain tissue after cerebral ischemia-reperfusion injury in 3 groups of rats
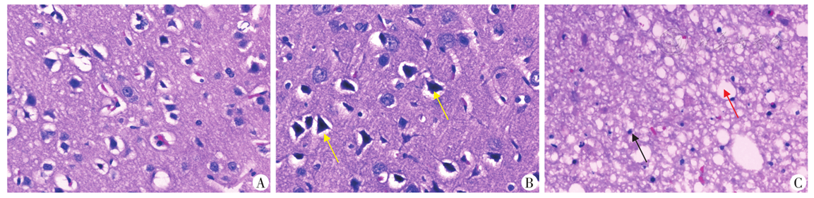
图2 3组大鼠脑组织坏死的HE染色结果(×200)A:Sham组;B:tMCAO组(箭头示神经元变性,胞核深染);C:tMCAO+CQ组(红色箭头示组织水肿,间隙增大;黑色箭头示胞核固缩深染);tMCAO:短暂性大脑中动脉栓塞;CQ:氯喹
Fig.2 HE staining results of brain tissue necrosis in 3 groups of rats (×200)
表2 3组大鼠脑组织中炎症因子含量比较(pg/mL)
Tab.2 Comparison of inflammatory factor content in brain tissue of 3 groups of rats (pg/mL)
表3 3组大鼠脑组织中自噬溶酶体途径相关蛋白表达水平比较(±s
Tab.3 Comparison of protein expression levels related to autophagy lysosome pathway in brain tissues of 3 groups of rats (Mean±SD)
图3 3组大鼠脑组织中自噬溶酶体途径相关蛋白表达的Western blot电泳条带图
Fig.3 Western blot electrophoresis bands of autophagy lysosome pathway related protein expression in brain tissue of 3 groups of rats
[1]
张冬月,韩薇.我国脑卒中流行现状及危险因素研究进展[J].世界最新医学信息文摘(连续型电子期刊), 2018, 18(80): 122-123. DOI: 10.19613/j.cnki.1671-3141.2018.80.053.
[2]
Tan CC, Wang HF, Ji JL, et al. Endovascular treatment versus intravenous thrombolysis for acute ischemic stroke: a quantitative review and meta-analysis of 21 randomized trials[J]. Mol Neurobiol, 2017, 54(2): 1369-1378. DOI: 10.1007/s12035-016-9738-0.
[3]
Koerver L, Papadopoulos C, Liu B, et al. The ubiquitin-conjugating enzyme UBE2QL1 coordinates lysophagy in response to endolysosomal damage[J]. EMBO Rep, 2019, 20(10): e48014. DOI: 10.15252/embr.201948014.
[4]
Prinz M, Mildner A. Microglia in the CNS: immigrants from another world[J]. Glia, 2011, 59(2): 177-187. DOI: 10.1002/glia.21104.
[5]
Prentice H, Modi JP, Wu JY. Mechanisms of neuronal protection against excitotoxicity, endoplasmic reticulum stress, and mitochondrial dysfunction in stroke and neurodegenerative diseases[J]. Oxid Med Cell Longev, 2015, 2015: 964518. DOI: 10.1155/2015/964518.
[6]
Li YY, Qin ZH, Sheng R. The multiple roles of autophagy in neural function and diseases[J]. Neurosci Bull, 2024, 40(3): 363-382. DOI: 10.1007/s12264-023-01120-y.
[7]
Feigin VL, Nguyen G, Cercy K, et al. Global, regional, and country-specific lifetime risks of stroke, 1990 and 2016[J]. N Engl J Med, 2018, 379(25): 2429-2437. DOI: 10.1056/NEJMoa1804492.
[8]
Qiao C, Liu Z, Qie S. The implications of microglial regulation in neuroplasticity-dependent stroke recovery[J]. Biomolecules, 2023, 13(3): 571. DOI: 10.3390/biom13030571.
[9]
Jurcau A, Simion A. Neuroinflammation in cerebral ischemia and ischemia/reperfusion injuries: from pathophysiology to therapeutic strategies[J]. Int J Mol Sci, 2021, 23(1): 14. DOI: 10.3390/ijms23010014.
[10]
Zhao Y, Gan Y, Xu G, et al. MSCs-derived exosomes attenuate acute brain injury and inhibit microglial inflammation by reversing CysLT2R-ERK1/2 mediated microglia M1 polarization[J]. Neurochem Res, 2020, 45(5): 1180-1190. DOI: 10.1007/s11064-020-02998-0.
[11]
Hu X, Li P, Guo Y, et al. Microglia/macrophage polarization dynamics reveal novel mechanism of injury expansion after focal cerebral ischemia[J]. Stroke, 2012, 43(11): 3063-3070. DOI: 10.1161/strokeaha.112.659656.
[12]
Lu Y, Li C, Chen Q, et al. Microthrombus-targeting micelles for neurovascular remodeling and enhanced microcirculatory perfusion in acute ischemic stroke[J]. Adv Mater, 2019, 31(21): e1808361. DOI: 10.1002/adma.201808361.
[13]
何鹤,黄国志,曾庆,等.自噬对脑缺血再灌注损伤后神经功能障碍恢复的影响[J].中华神经医学杂志, 2018, 17(2): 124-129. DOI: 10.3760/cma.j.issn.1671-8925.2018.02.004.
[14]
Mahemuti Y, Kadeer K, Su R, et al. TSPO exacerbates acute cerebral ischemia/reperfusion injury by inducing autophagy dysfunction[J]. Exp Neurol, 2023, 369: 114542. DOI: 10.1016/j.expneurol.2023.114542.
[15]
Eskelinen EL. Roles of LAMP-1 and LAMP-2 in lysosome biogenesis and autophagy[J]. Mol Aspects Med, 2006, 27(5-6): 495-502. DOI: 10.1016/j.mam.2006.08.005.
[16]
Ye Y, Li L, Kang H, et al. LAMP1 controls CXCL10-CXCR3 axis mediated inflammatory regulation of macrophage polarization during inflammatory stimulation[J]. Int Immunopharmacol, 2024, 132: 111929. DOI: 10.1016/j.intimp.2024.111929.
[17]
Adhami F, Liao G, Morozov YM, et al. Cerebral ischemia-hypoxia induces intravascular coagulation and autophagy[J]. Am J Pathol, 2006, 169(2): 566-583. DOI: 10.2353/ajpath.2006.051066.
[18]
Wei H, Li Y, Han S, et al. Cpkcγ-modulated autophagy in neurons alleviates ischemic injury in brain of mice with ischemic stroke through Akt-mTOR pathway[J]. Transl Stroke Res, 2016, 7(6): 497-511. DOI: 10.1007/s12975-016-0484-4.
[19]
Wu Q, Luo CL, Tao LY. Dynamin-related protein 1 (Drp1) mediating mitophagy contributes to the pathophysiology of nervous system diseases and brain injury[J]. Histol Histopathol, 2017, 32(6): 551-559. DOI: 10.14670/hh-11-841.
[20]
Wolf MS, Bayır H, Kochanek PM, et al. The role of autophagy in acute brain injury: a state of flux?[J]. Neurobiol Dis, 2019, 122: 9-15. DOI: 10.1016/j.nbd.2018.04.018.
[21]
Sheng R, Zhang LS, Han R, et al. Autophagy activation is associated with neuroprotection in a rat model of focal cerebral ischemic preconditioning[J]. Autophagy, 2010, 6(4): 482-494. DOI: 10.4161/auto.6.4.11737.
[22]
Yang Z, Zhong L, Zhong S, et al. Hypoxia induces microglia autophagy and neural inflammation injury in focal cerebral ischemia model[J]. Exp Mol Pathol, 2015, 98(2): 219-224. DOI: 10.1016/j.yexmp.2015.02.003.
[23]
Zhang DM, Zhang T, Wang MM, et al. Tigar alleviates ischemia/reperfusion-induced autophagy and ischemic brain injury[J]. Free Radic Biol Med, 2019, 137: 13-23. DOI: 10.1016/j.freeradbiomed.2019.04.002.
[24]
Xiong J, Kong Q, Dai L, et al. Autophagy activated by tuberin/mTOR/p70S6K suppression is a protective mechanism against local anaesthetics neurotoxicity[J]. J Cell Mol Med, 2017, 21(3): 579-587. DOI: 10.1111/jcmm.13003.
[25]
Jang Y. Endurance exercise-induced expression of autophagy-related protein coincides with anabolic expression and neurogenesis in the hippocampus of the mouse brain[J]. Neuroreport, 2020, 31(6): 442-449. DOI: 10.1097/wnr.0000000000001431.
[26]
黄亚光,陶薇,王金凤,等.针刺调控自噬保护脑缺血再灌注损伤的研究进展[J].针刺研究, 2019, 44(6): 459-464. DOI: 10.13702/j.1000-0607.180275.
[27]
Cheng XT, Xie YX, Zhou B, et al. Characterization of LAMP1-labeled nondegradative lysosomal and endocytic compartments in neurons[J]. J Cell Biol, 2018, 217(9): 3127-3139. DOI: 10.1083/jcb.201711083.
[28]
Fekadu J, Rami A. Beclin-1 deficiency alters autophagosome formation, lysosome biogenesis and enhances neuronal vulnerability of HT22 hippocampal cells[J]. Mol Neurobiol, 2016, 53(8): 5500-5509. DOI: 10.1007/s12035-015-9453-2.
[29]
Zhang X, Wei M, Fan J, et al. Ischemia-induced upregulation of autophagy preludes dysfunctional lysosomal storage and associated synaptic impairments in neurons[J]. Autophagy, 2021, 17(6): 1519-1542. DOI: 10.1080/15548627.2020.1840796.
[30]
Marques ARA, Di Spiezio A, Thießen N, et al. Enzyme replacement therapy with recombinant pro-CTSD (cathepsin D) corrects defective proteolysis and autophagy in neuronal ceroid lipofuscinosis[J]. Autophagy, 2020, 16(5): 811-825. DOI: 10.1080/15548627.2019.1637200.
[1] 王佳佳, 单永, 姜凡, 方明娣, 彭梅. 高频肌骨超声在手指肌腱损伤中的临床应用价值[J/OL]. 中华医学超声杂志(电子版), 2025, 22(06): 535-540.
[2] 陈波波, 王冠乔, 王宏煜, 侯建业, 田野. 骨代谢指标与关节软骨损伤Outerbridge分级的相关性研究[J/OL]. 中华关节外科杂志(电子版), 2025, 19(04): 418-426.
[3] 陈明亮, 王颉, 谷成毅, 周游. 内侧半月板后根部撕裂诊治进展[J/OL]. 中华关节外科杂志(电子版), 2025, 19(04): 486-493.
[4] 车可心, 熊枫, 杜伟力, 代强, 胡云刚, 王艺雯, 植林, 张慧君, 于东宁, 沈余明. 采用多种皮瓣修复下肢肌腱滑动性创面的临床效果[J/OL]. 中华损伤与修复杂志(电子版), 2025, 20(05): 391-396.
[5] 谢腾, 唐林峰, 巨积辉. 指端软组织缺损治疗的研究进展[J/OL]. 中华损伤与修复杂志(电子版), 2025, 20(05): 421-425.
[6] 阳跃, 张昊飞, 崔子豪, 李振豪, 高建, 胡银, 郝岱峰, 冯光, 庹晓晔. 采用双侧阴部内动脉穿支皮瓣修复肛周皮肤软组织缺损的效果观察[J/OL]. 中华损伤与修复杂志(电子版), 2025, 20(04): 301-305.
[7] 戴昕吭, 余婷, 王园, 李雅鑫, 吴尉, 吴敏, 何俊生, 肖仕初. 烧伤科护士吸入性损伤气道护理能力的潜在类别及影响因素分析[J/OL]. 中华损伤与修复杂志(电子版), 2025, 20(04): 318-324.
[8] 奎玉凤, 李毅. 糖尿病血管内皮细胞损伤机制的研究进展[J/OL]. 中华损伤与修复杂志(电子版), 2025, 20(04): 363-367.
[9] 王杰艳, 胡博文, 梁辉. 细胞死亡在肾缺血再灌注损伤中的研究进展[J/OL]. 中华腔镜泌尿外科杂志(电子版), 2025, 19(05): 653-657.
[10] 薛国强, 赵立明, 刘学军, 任玉林, 晏发隆, 杨晨, 杨嘉祺, 王永翔, 康印东. 甘草酸对尿源性脓毒症相关急性肾损伤的作用机制研究[J/OL]. 中华腔镜泌尿外科杂志(电子版), 2025, 19(04): 498-507.
[11] 刘虎, 任振, 韦笑韩, 王书翰, 潘晨, 吴立胜. 基于心下囊解剖的腹腔镜大食管裂孔疝补片修补术单中心40例分析[J/OL]. 中华疝和腹壁外科杂志(电子版), 2025, 19(04): 417-421.
[12] 王辉, 崔恬玉, 段凡. 哺乳动物雷帕霉素靶蛋白信号通路在IgA肾病发病机制中的作用研究进展[J/OL]. 中华肾病研究电子杂志, 2025, 14(04): 209-213.
[13] 张檀檀, 王胤, 吴炜, 过之一, 秦晓雯, 梁海. 乌司他丁抑制JAK2/STAT3介导的细胞焦亡在减轻重症急性胰腺炎大鼠肠黏膜屏障损伤的作用[J/OL]. 中华消化病与影像杂志(电子版), 2025, 15(04): 326-333.
[14] 谢培森, 张绍龙, 张克石, 关振鹏. Circ_0136474增强软骨细胞自噬抑制骨关节炎软骨缺损[J/OL]. 中华临床医师杂志(电子版), 2025, 19(05): 374-381.
[15] 黄庆红, 赵敏, 李健, 王碧颖, 金鑫. 神经周围注射地塞米松对肩袖修补术患者臂丛神经阻滞后爆发痛的影响[J/OL]. 中华临床医师杂志(电子版), 2025, 19(04): 269-276.
阅读次数
全文


摘要


AI


AI小编
你好!我是《中华医学电子期刊资源库》AI小编,有什么可以帮您的吗?