切换至 "中华医学电子期刊资源库"

中华神经创伤外科电子杂志 ›› 2023, Vol. 09 ›› Issue (06) : 378 -380. doi: 10.3877/cma.j.issn.2095-9141.2023.06.011

病例报告

脑室-腹腔分流术后脑脓肿一例报道并文献复习
陈浪, 陈玉静, 肖恺, 陈阳, 邵强(), 潘力, 胡飞, 王焕明, 陈俊, 徐豪   
  1. 430015 武汉,长江航运总医院/武汉脑科医院神经外科
    528051 佛山,广州中医药大学第八临床医学院(附属佛山中医院)
  • 收稿日期:2023-08-03 出版日期:2023-12-15
  • 通信作者: 邵强
  • 基金资助:
    交通运输部长江航务管理局2023年重点科技项目(2023-CHKJ-023)

Treatment of cerebral abscess after ventriculoperitoneal shunt operation: a case report and literature review

Lang Chen, Yujing Chen, Kai Xiao   

  • Received:2023-08-03 Published:2023-12-15
引用本文:

陈浪, 陈玉静, 肖恺, 陈阳, 邵强, 潘力, 胡飞, 王焕明, 陈俊, 徐豪. 脑室-腹腔分流术后脑脓肿一例报道并文献复习[J/OL]. 中华神经创伤外科电子杂志, 2023, 09(06): 378-380.

Lang Chen, Yujing Chen, Kai Xiao. Treatment of cerebral abscess after ventriculoperitoneal shunt operation: a case report and literature review[J/OL]. Chinese Journal of Neurotraumatic Surgery(Electronic Edition), 2023, 09(06): 378-380.

脑室-腹腔(ventriculo-peritoneal,V-P)分流术是将一组带单向阀门的分流装置植入体内,将脑脊液从脑室分流到腹腔中吸收,是治疗脑积水最常用的分流手术[1]。目前关于V-P分流术后发生脑脓肿报道较少,长江航运总医院神经外科于2022年12月收治1例V-P分流术后脑脓肿患者,现将该患者的诊治经过结合文献复习作一报道。

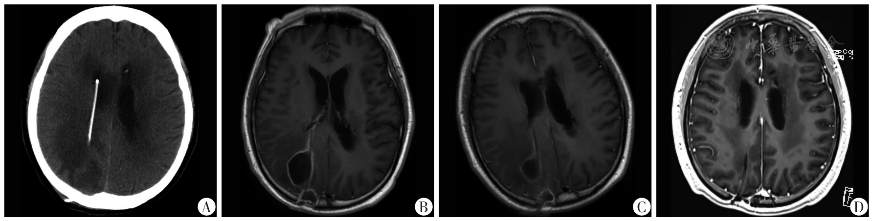
图1 脑室-腹腔分流术后脑脓肿患者的头部影像学资料A:入院时头部CT示分流管周围见多发低密度影;B:入院后3 d头部MRI增强示分流管周围多发环状强化灶;C:抗感染治疗2周后复查头部MRI增强示分流管周围环形强化灶缩小;D:出院后半年随访复查头部MRI增强示分流管周围强化灶消失
Fig.1 Head imaging data of patients with brain abscess after ventriculo-peritoneal shunt surgery
表1 10例脑室-腹腔分流术后脑脓肿患者的临床资料
Tab.1 Clinical data of 10 patients with brain abscess after ventriculo-peritoneal shunt surgery
[1]
Chung JJ, Yu JS, Kim JH, et al. Intraabdominal complications secondary to ventriculoperitoneal shunts: CT findings and review of the literature[J]. AJR Am J Roentgenol, 2009, 193(5): 1311-1317. DOI: 10.2214/ajr.09.2463.
[2]
Kanangi S, Balasubramaniam C. Shunt infections: a review and analysis of a personal series[J]. Childs Nerv Syst, 2018, 34(10): 1915-1924. DOI: 10.1007/s00381-018-3890-y.
[3]
Gupta R, Mohindra S, Dhingra AK. Are non-functioning intraventricular shunt catheters really dormant?[J]. Br J Neurosurg, 2007, 21(3): 297-298. DOI: 10.1080/02688690701317151.
[4]
Vougioukas VI, Feuerhake F, Hubbe U, et al. Latent abscess formation adjacent to a non-functioning intraventricular catheter[J]. Childs Nerv Syst, 2003, 19(2): 119-121. DOI: 10.1007/s00381-002-0706-9.
[5]
Pandey P, Suri A, Singh AK, et al. Brain abscess--an unusual complication of ventriculo-peritoneal shunt[J]. Indian J Pediatr, 2003, 70(10): 833-834. DOI: 10.1007/bf02723809.
[6]
Lee JH, Back DB, Park DH, et al. Increased vascular endothelial growth factor in the ventricular cerebrospinal fluid as a predictive marker for subsequent ventriculoperitoneal shunt infection: a comparison study among hydrocephalic patients[J]. J Korean Neurosurg Soc, 2012, 51(6): 328-333. DOI: 10.3340/jkns.2012.51.6.328.
[7]
Karhade AV, Cote DJ, Larsen AM, et al. Neurosurgical infection rates and risk factors: a national surgical quality improvement program analysis of 132,000 patients, 2006-2014[J]. World Neurosurg, 2017, 97: 205-212. DOI: 10.1016/j.wneu.2016.09.056.
[8]
Hess DJ, Henry-Stanley MJ, Wells CL. Interplay of antibiotics and bacterial inoculum on suture-associated biofilms[J]. J Surg Res, 2012, 177(2): 334-340. DOI: 10.1016/j.jss.2012.04.040.
[9]
Santos-Seoane SM, Cabo-Madagan R, Rodriguez-Guardado A. Brain abscess in relation to infection of the ventriculo-peritoneal derivation system[J]. Rev Clin Esp (Barc), 2019, 219(3): 161. DOI: 10.1016/j.rceng.2018.11.002.
[10]
Shin DS, Hwang SC, Kim BT, et al. Delayed cerebral abscess as a shunt complication and endoscopic removal of the ventricular catheter and abscess[J]. J Korean Neurosurg Soc, 2008, 43(6): 300-303. DOI: 10.3340/jkns.2008.43.6.300.
[11]
Shankar A, Chacko G, Chacko AG. Intratumoral abscess: an unusual complication of ventriculoperitoneal shunt infection[J]. Childs Nerv Syst, 2004, 20(3): 204-206. DOI: 10.1007/s00381-003-0851-9.
[12]
Osoba AO, Kutub H, Waliuddin A, et al. Enterococcus avium. An unusual cause of cerebral abscess[J]. Neurosciences (Riyadh), 2005, 10(4): 297-300.
[13]
Jamjoom AA, Waliuddin AR, Jamjoom AB. Brain abscess formation as a CSF shunt complication: a case report[J]. Cases J, 2009, 2(1): 110. DOI: 10.1186/1757-1626-2-110.
[14]
Arrese I, Nunez AP, Rivas JJ, et al. Delayed brain abscess as a complication of a CSF shunt[J]. Neurocirugia (Astur), 2004, 15(5): 472-475. DOI: 10.1016/j.neuint.2004.03.001.
[15]
徐英辉,廉志刚,张健,等.脑室-腹腔分流术后并发肠穿孔及脑脓肿1例[J].中华神经外科疾病研究杂志, 2003, 2(4): 292. DOI: 10.3969/j.issn.1671-2897.2003.04.032.
[16]
李明,王斌,吴中华,等.腰大池引流术治疗未拔除脑室腹腔分流管的颅内感染七例报道及文献回顾[J].中华神经医学杂志, 2016, 15(6): 4. DOI: 10.3760/cma.j.issn.1671-8925.2016.06.016.
[17]
Flamm RK, Farrell DJ, Mendes RE, et al. LEADER surveillance program results for 2010: an activity and spectrum analysis of linezolid using 6801 clinical isolates from the United States (61 medical centers)[J]. Diagn Microbiol Infect Dis, 2012, 74(1): 54-61. DOI: 10.1016/j.diagmicrobio.2012.05.012.
[18]
娄元华,马化芹.鞘内注射万古霉素治疗重型颅脑外伤开颅术后MRSA颅内感染的临床研究[J].中华神经创伤外科电子杂志, 2019, 5(6): 370-372. DOI: 10.3877/cma.j.issn.2095-9141.2019.06.011.
[19]
中国医师协会神经外科医师分会神经重症专家委员会,北京医学会神经外科学分会神经外科危重症学组.神经外科中枢神经系统感染诊治中国专家共识(2021版)[J].中华神经外科杂志, 2021, 37(1): 14. DOI: 10.3760/cma.j.cn112050-20200831-00480.
[20]
van de Beek D, Drake JM, Tunkel AR. Nosocomial bacterial meningitis[J]. N Engl J Med, 2010, 362(2): 146-154. DOI: 10.1056/nejmra0804573.
[1] 史学兵, 谢迎东, 谢霓, 徐超丽, 杨斌, 孙帼. 声辐射力弹性成像对不可切除肝细胞癌门静脉癌栓患者放射治疗效果的评价[J/OL]. 中华医学超声杂志(电子版), 2024, 21(08): 778-784.
[2] 易柏成, 李旭光, 王容容, 王新璇. 数字化3D打印导板应用于上前牙钙化根管治疗2例[J/OL]. 中华口腔医学研究杂志(电子版), 2024, 18(06): 385-390.
[3] 李华志, 曹广, 刘殿刚, 张雅静. 不同入路下行肝切除术治疗原发性肝细胞癌的临床对比[J/OL]. 中华普外科手术学杂志(电子版), 2025, 19(01): 52-55.
[4] 陈浩, 王萌. 胃印戒细胞癌的临床病理特征及治疗选择的研究进展[J/OL]. 中华普外科手术学杂志(电子版), 2025, 19(01): 108-111.
[5] 刘柏隆, 周祥福. 压力性尿失禁阶梯治疗的项目介绍[J/OL]. 中华腔镜泌尿外科杂志(电子版), 2025, 19(01): 125-125.
[6] 刘柏隆. 女性压力性尿失禁阶梯治疗之手术治疗方案选择[J/OL]. 中华腔镜泌尿外科杂志(电子版), 2025, 19(01): 126-126.
[7] 王秋生. 胆道良性疾病诊疗策略[J/OL]. 中华肝脏外科手术学电子杂志, 2024, 13(06): 779-782.
[8] 中华医学会器官移植学分会. 肝移植术后缺血性胆道病变诊断与治疗中国实践指南[J/OL]. 中华肝脏外科手术学电子杂志, 2024, 13(06): 739-748.
[9] 陈杰, 武明胜, 李一金, 李虎, 向源楚, 荣新奇, 彭健. 低位直肠癌冷冻治疗临床初步分析[J/OL]. 中华结直肠疾病电子杂志, 2024, 13(06): 494-498.
[10] 中国抗癌协会, 中国抗癌协会大肠癌专业委员会. 中国恶性肿瘤整合诊治指南-肛管癌(2024 版)[J/OL]. 中华结直肠疾病电子杂志, 2024, 13(06): 441-449.
[11] 吴天宇, 刘子璇, 杨浦鑫, 贾思明, 丁凯, 程晓东, 李泳龙, 陈伟, 吕红芝, 张奇. 腰椎间盘突出症保守治疗进展[J/OL]. 中华老年骨科与康复电子杂志, 2024, 10(06): 379-384.
[12] 崔军威, 蔡华丽, 胡艺冰, 胡慧. 亚甲蓝联合金属定位夹及定位钩针标记在乳腺癌辅助化疗后评估腋窝转移淋巴结的临床应用价值探究[J/OL]. 中华临床医师杂志(电子版), 2024, 18(07): 625-632.
[13] 王誉英, 刘世伟, 王睿, 曾娅玲, 涂禧慧, 张蒲蓉. 老年乳腺癌新辅助治疗病理完全缓解的预测因素分析[J/OL]. 中华临床医师杂志(电子版), 2024, 18(07): 641-646.
[14] 张平骥, 徐钰, 李天水, 庞文翼, 符师宁, 张梦圆. 重症患者镇静治疗现状及期望的调查研究[J/OL]. 中华临床医师杂志(电子版), 2024, 18(06): 562-567.
[15] 王昌前, 林婷婷, 宁雨露, 王颖杰, 谭文勇. 光免疫治疗在肿瘤领域的临床应用新进展[J/OL]. 中华临床医师杂志(电子版), 2024, 18(06): 575-583.
阅读次数
全文


摘要


AI


AI小编
你好!我是《中华医学电子期刊资源库》AI小编,有什么可以帮您的吗?